"Áö±ÝÀº ·ÎµùÁß!"
img
043-223-6755
img
ÀÌÈ­º§¶ó ¼Ò½Ä
img
¿Â¶óÀÎ »ó´ã
img
±Ý¾× ¾È³»
img
ÀÌÈ­º§¶ó¿©¼ºÀÇ¿ø ¼Ò½Ä
img
¿Â¶óÀÎ »ó´ã
³ª°¡±â

À¯¹æÀÇ ±¸Á¶

À¯¹æÀº 15-20°³ÀÇ À¯¿± (êáç¨)À̶ó ºÒ¸®´Â ÀÛÀº Á¶Á÷À¸·Î ±¸¼ºµÇ¾î ÀÖ°í, °¢°¢ÀÇ ¿±Àº Á¥À» ¸¸µå´Â ¿©·¯ °³ÀÇ ¼Ò¿±À¸·Î ÀÌ·ç¾îÁ® ÀÖ½À´Ï´Ù. ¼Ò¿±¿¡¼­ ¸¸µé¾îÁø Á¥Àº À¯°üÀ̶ó°í ºÒ¸®´Â ÀÛÀº À¯°ü(êáη)À» ÅëÇØ À¯µÎ·Î ¹èÃâµË´Ï´Ù.

À¯¹æÀº Áö¹æ°ú À¯¹æÁ¶Á÷ (À¯¿±, À¯°ü)À¸·Î ±¸¼ºµÇ¾î ÀÖ°í, À¯¹æ ³»¿¡ ±ÙÀ°Àº Á¸ÀçÇÏÁö ¾Ê½À´Ï´Ù. ±ÙÀ°Àº À¯¹æ ÇϺο¡ À§Ä¡ÇÏ¿© ´Á°ñÀ» °¨½Î°í ÀÖÀ¸¸ç ÀÌ·± ±ÙÀ°À» ´ëÈä±Ù À̶ó°í ÇÕ´Ï´Ù

À¯¹æ¾Ï À̶õ?

À¯¹æ¾ÏÀº ¹Ì±¹ ¿©¼º¿¡¼­´Â °¡Àå ÈçÇÑ ¾ÏÀ¸·Î ¹Ì±¹ ¿©¼ºÀÇ 8¸í Áß 1¸íÀÌ Æò»ý µ¿¾È À¯¹æ¾Ï¿¡ °É¸± °¡´É¼ºÀÌ ÀÖ´Ù°í ÇÕ´Ï´Ù. Çѱ¹ÀÇ °æ¿ì À¯¹æ¾ÏÀº 1994³â Åë°è¿¡ ÀÇÇϸé Çѱ¹ ¿©¼º ¾Ï µî·Ï ȯÀÚÀÇ ¾à 11.9%·Î ÀڱðæºÎ¾Ï, À§¾Ï¿¡ ÀÌ¾î ¼¼ ¹øÂ°À̳ª, ÀÌÈÄ ±Þ¼ÓÇÑ Áõ°¡À²À» º¸¿© 1998³â Åë°è¸¦ º¸¸é 14.1%·Î ¿©¼º ¾Ï Áß À§¾Ï¿¡ À̾î 2¹øÂ°·Î ÈçÇÑ ¾ÏÀ¸·Î º¸°íµÇ°í ÀÖ½À´Ï´Ù.

ÀÌ¿Í °°ÀÌ Áõ°¡ÇÔ¿¡ µû¶ó ÇöÀç ȯÀÚÀÇ »ýÁ¸À²Àº ÃÖ´ëÈ­Çϸ鼭 ¸¸Á·½º·¯¿î ¹Ì¿ë ¼ºÀûÀ» °ÅµÎ±â À§ÇØ ¼ö¼ú ¹æ½Ä, ¹æ»ç¼± Ä¡·á ¹× Ç×¾Ï Ä¡·á µî ¼¼ °¡Áö Ä¡·á ¹æ½ÄÀÌ ¼­·Î ¿¬°èÇÏ¿© ¹ßÀüÇϰí ÀÖ½À´Ï´Ù. À¯¹æ¾ÏÀº ½É°¢ÇÑ °á°ú¸¦ ³ªÅ¸³¾ ¼ö ÀÖ´Â Á¾¾çÀ̳ª,Á¶±â ¹ß°ß°ú ÀûÀýÇÑ Ä¡·á½Ã ¿ÏÄ¡µÉ ¼ö ÀÖ´Â ¾Ï ÁßÀÇ ÇϳªÀÔ´Ï´Ù. À¯¹æ¾ÏÀº ¿©¼º¿¡°Ô ¸¹Áö¸¸ µå¹°°Ô(¿©¼º ºóµµÀÇ 1/100) ³²¼º¿¡°Ôµµ ¹ß»ýÇÒ ¼ö ÀÖ½À´Ï´Ù.

À¯¹æ¾ÏÀÇ È£¹ßºÎÀ§

´ëºÎºÐÀÇ À¯°üÀÌ »óºÎ¿ÜÃø¿¡ À§Ä¡Çϱ⠶§¹®¿¡, À¯¹æ¾ÏÀº À¯¹æÀÇ »óºÎ¿ÜÃø¿¡ °¡Àå ¸¹ÀÌ ¹ß»ýÇÕ´Ï´Ù (50%). ÀÌ¿¡ ºñÇØ ÇϺγ»ÃøÀº À¯¹æ Á¶Á÷ÀÌ °¡Àå Àû±â ¶§¹®¿¡ À¯¹æ¾ÏÀÇ ºóµµ°¡ °¡Àå ³·½À´Ï´Ù (6%). ¾Ï¼¼Æ÷°¡ À¯°üÀÇ ¹Ù±ùÂÊÀ¸·Î ħÀ±½Ã ħÀ±Çü À¯¹æ¾ÏÀ̶ó°í ÇÏ¸ç ¼ö¼ú ´ç½Ã °Üµå¶ûÀÌ ¸²ÇÁÀýÀ̳ª Ç÷°üÀ¸·Î ÀüÀÌÇÒ °¡´É¼ºÀÌ ³ô½À´Ï´Ù. ÀÌ °æ¿ì ¼ö¼úÀ̳ª Ç×¾Ï Ä¡·á ÈÄ¿¡µµ Àç¹ßÀ̳ª ´Ù¸¥ Àå±â¿¡ ÀüÀÌµÉ °¡´É¼ºÀÌ ³ô¾Æ ȯÀÚ°¡ »ç¸ÁÇÒ °¡´É¼ºÀÌ ÀÖ½À´Ï´Ù.

À¯¹æ¾ÏÀÇ À§Çè¿äÀÎ

¿©¼ºÈ£¸£¸ó

À¯¹æ¾ÏÀÇ ¹ß»ý°ú ¼ºÀå¿¡´Â ¿©·¯ °¡Áö È£¸£¸ó ƯÈ÷ ¿©¼ºÈ£¸£¸óÀÌ ¹ÐÁ¢È÷ °ü·ÃµÇ¾î ÀÖ´Â °ÍÀ¸·Î ¾Ë·ÁÁ® ÀÖ½À´Ï´Ù. ¿©¼º¿¡°Ô¼­µµ ³­¼Ò·ÎºÎÅÍ ¿©¼ºÈ£¸£¸óÀÌ »ý¼ºµÇ±â ½ÃÀÛÇÏ´Â »çÃá±â ÀÌÈÄ¿¡ ³ªÅ¸³ª±â ½ÃÀÛÇÕ´Ï´Ù. ¼±ÃµÀûÀ¸·Î ³­¼ÒÀÇ ±â´ÉÀÌ ¾ø´Â ¿©¼º¿¡°Ô´Â À¯¹æ¾ÏÀÌ »ý±âÁö ¾Ê´Â °ÍÀ¸·Î ¾Ë·ÁÁ® ÀÖ½À´Ï´Ù.

°¡Á··Â°ú À¯Àü

À¯¹æ¾ÏÀº µ¿ÀÏ °¡°è¿¡¼­ ºñ±³Àû Àß ¹ß»ýÇÏ´Â Áï °¡Á··ÂÀÌ À§ÇèÀÎÀÚ·Î °Å·ÐµÇ´Â ÁúȯÀÔ´Ï´Ù. ±×·¯³ª À¯¹æ¾Ï ȯÀÚ¸¦ ÅëÆ²¾î º¸¸é ¶Ñ·ÇÇÑ °¡Á··ÂÀÌ ÀÖ´Â °æ¿ì´Â ¼­¾çÀÇ °æ¿ì 20%¸¦ ³ÑÁö ¸øÇÕ´Ï´Ù. Áï 80% ÀÌ»óÀÇ À¯¹æ¾Ï ȯÀÚ°¡ ¶Ñ·ÇÇÑ °¡Á··ÂÀÌ ¾ø½À´Ï´Ù. ±×³ª¸¶ È®½ÇÇÑ À¯ÀüÀ̶ó°í º¼ ¼ö ÀÖ´Â °æ¿ì´Â ´ÜÁö 5% ¹Ì¸¸ÀÔ´Ï´Ù.

»ý¸®±â°£ ¹× Ãâ»ê·Â

À¯¹æ¾ÏÀº ÃʰæºÎÅÍ Ã¹ ¸¸»èÃâ»ê±îÁö ±â°£ÀÌ ±æ¼ö·Ï À§Çèµµ´Â ³ô¾ÆÁö¸ç Æò»ý¿¡ °ÉÃÄ ¿ù°æÇÏ´Â ±â°£ÀÌ ±æ¼ö·Ï À§Çèµµ°¡ ³ô¾ÆÁý´Ï´Ù. (À̸¥ Ãʰæ, ´ÊÀº Æó°æ, ÀûÀº Ãâ»êȸ¼ö, ªÀº ¼öÀ¯±â°£, ¸¹Àº À¯»êȸ¼ö)

½Ä»ýȰ°ú ºñ¸¸

¼ö½Ê³â°£ÀÇ ¿¬±¸¿¡¼­µµ ¾î¶² À½½ÄÀÌ Á÷Á¢Àû ¿øÀÎÀ̶ó´Â È®½ÇÇÑ °á°ú´Â ³ª¿ÀÁö ¾Ê¾Ò½À´Ï´Ù. ´Ù¸¸ Áö¹æÁúÀÌ ¸¹Àº À½½Ä°ú °í¿­·® ¼·Ãë·Î ÀÎÇÑ ºñ¸¸ ±×¸®°í ¾ËÄÝ(¼ú) µîÀÌ À§ÇèÀÎÀÚ·Î ¾Ë·ÁÁ® ÀÖ°í ¹Ý´ë·Î ä¼Ò, ºñŸ¹Î A, C, E µîÀÌ ¿¹¹æÀ½½ÄÀ¸·Î ¾Ë·ÁÁ® ÀÖ½À´Ï´Ù.

¼öÀ¯¿©ºÎ

¿ì¸®³ª¶óÀÇ ¿¬±¸°á°ú¿¡¼­´Â ¸¸»èºÐ¸¸ÀÇ °æÇèÀÌ ÀÖ´Â Æó°æ±â ÀÌÈÄ ¿©¼º¿¡¼­ º¼ ¶§ ¸ðÀ¯¸¦ ¼öÀ¯ÇÑ ÀÚ½ÄÀÇ ¼ö°¡ ¸¹À¸¸é ¸¹À»¼ö·Ï ¶Ç ¸¸»èºÐ¸¸À¸·Î Ãâ»êÇÑ ¾ÆÀ̸¦ ¸ðÀ¯·Î ¼öÀ¯ÇÑ ±â°£ÀÌ ±æ¸é ±æ¼ö·Ï À¯¹æ¾Ï ¹ß»ýÀ²ÀÌ °¨¼ÒÇÏ¿´°í, ƯÈ÷ ù ¾ÆÀ̸¦ ¸ðÀ¯·Î ¼öÀ¯ÇÑ ±â°£ÀÌ ±æ¸é ±æ¼ö·Ï À¯¹æ¾Ï ¹ß»ýÀ²ÀÌ °¨¼ÒÇÏ´Â °ÍÀ» º¸¿©ÁÝ´Ï´Ù. ¹Ý´ë·Î ¼öÀ¯¸¦ ÇÏÁö ¾ÊÀº °æ¿ì À¯¹æ¾Ï À§Ç輺Àº Ä¿Áý´Ï´Ù.

°ú°Åº´·Â

À¯¹æ¾ÏÀ» ¾ÎÀº ȯÀÚÀÇ ´Ù¸¥ ÇÑÂÊ À¯¹æÀº À¯¹æ¾Ï À§ÇèÀÌ Áõ°¡ÇÕ´Ï´Ù.

¿¬·É

30´ë Àü¿¡´Â µå¹°°í 35¼¼ ÀÌÈÄ´Â À§Çèµµ°¡ Áõ°¡ÇÕ´Ï´Ù. ¿ì¸®³ª¶óÀÇ °æ¿ì ÀþÀº ¿¬·ÉÃþ¿¡¼­ »ó´ëÀûÀ¸·Î ¹ß»ý ºóµµ°¡ ³ôÀº ÆíÀÔ´Ï´Ù.

ÁؾǼºº´º¯/¾ç¼ºº´º¯

Áö±Ý ´çÀå ¾ÏÀΰÍÀº ¾Æ´ÏÁö¸¸ ½Ã°£ÀÌ È帣¸é ¾ÏÀ» µ¿¹ÝÇÏ°Ô µÇ°Å³ª ¾Ï¼¼Æ÷·Î ¹Ù²î°Ô µÇ´Â À¯¹æ ¾ç¼ºÁúȯÀÌ ÀÖ´Â °æ¿ì À§Çèµµ°¡ ³ô¾ÆÁý´Ï´Ù.

¹æ»ç¼±

°¡²û ¹Þ°Ô µÇ´Â ÀϹÝÀûÀÎ ÃÔ¿µÀ» ÀǹÌÇÏ´Â °ÍÀÌ ¾Æ´Ï¶ó Ä¡·á³ª ±âŸ ´Ù¸¥ ÀÌÀ¯·Î ÁýÁßÀûÀ¸·Î ¹æ»ç¼±À» ÂÉÀÌ´Â °æ¿ì À§Çèµµ°¡ ³ô¾ÆÁý´Ï´Ù.

±âŸ

Ç×¾ÏÁ¦, ¸é¿ª¾ïÁ¦Á¦, Áúº´ µîÀ¸·Î ÀÎÇÑ ¸é¿ª¾àÈ­°¡ ÀÖ´Â °æ¿ì, ¶ÇÇÑ ³­¼Ò¾Ï, ´ëÀå¾Ï, Àڱ󻸷¾ÏÀ» ¾ÎÀº ȯÀÚ¿¡°Ô À¯¹æ¾Ï ¹ß»ýÀ²ÀÌ ³ô½À´Ï´Ù.

ÀÚ°¡°ËÁø 4´Ü°è

¸Å¿ù »ý¸®ÈÄ 4~7ÀÏ¿¡ Á¤±âÀû ÀÚ°¡ °ËÁøÀ¸·Î½á À¯¹æ¾ÏÀ» Á¶±â¿¡ ¹ß°ß ÇÒ ¼ö ÀÖ½À´Ï´Ù.

Á¦1´Ü°è(À¯¹æ»çÁø)



°Å¿ï ¾Õ¿¡¼­ ¾çÂÊ À¯¹æÀ» °üÂûÇÕ´Ï´Ù.


  • ¾çÃø À¯¹æ Å©±â ´ëμº
  • À¯µÎ ÇÔ¸ô
  • À¯µÎ ºÐºñ¹°
  • ½ÀÁø, ÇǺΠºÎÁ¾

Á¦2´Ü°è(´©¿ö¼­ ÃËÁø)

  • ¾î±ú ¹Ø¿¡ º£°³¸¦ ³õ°í ³»Ãø °Ë»ç½Ã ÆÈÀ» ¿Ã¸®°í À¯¹æÀÇ Áß¾Ó¿¡¼­ °¡Àå ÀÚ¸®ÂÊÀ¸·Î ÃËÁøÇÕ´Ï´Ù.
  • ¹Ù±ùÂÊ °Ë»ç ½Ã¿¡´Â ÆÈÀ» ³»¸®°í À¯µÎ¸¦ ÇâÇÏ¿© ¿øÀ» ±×¸®¸ç È®ÀÎÇÕ´Ï´Ù.

Á¦3´Ü°è(»þ¿ö³ª ¸ñ¿å½Ã ÃËÁø)

  • À¯¹æ³» µüµüÇÑ µ¢¾î¸®
  • µ¢¾î¸®ÀÇ °æ°è
  • ÇÑÂÊ À¯¹æ¿¡¸¸ Á¸ÀçÇϰųª ÇϳªÀÎ °æ¿ì
  • °íÁ¤µÇ¾î ÀÖ´Â »óÅÂ
  • ÅëÁõÀÌ ¾ø´Â µ¢¾î¸®

Á¦4´Ü°è

  • °Üµå¶ûÀÌ ÀÓÆÄÀýÀ» ÃËÁøÇØ º¾´Ï´Ù.

À¯¹æ¾ÏÀÇ °Ë»ç¹æ¹ý

À¯¹æÃÔ¿µ¼ú(Mammography)

À¯¹æÃÔ¿µ¼úÀº À¯¹æ °Ë»ç Áß °¡Àå °£´ÜÇÏ¸ç ±âº»ÀûÀÎ ¹æ¹ýÀ¸·Î, ¾î¶² Á¾·ùÀÇ ´Ù¸¥ °Ë»ç¹æ¹ýº¸´Ù °¡Àå ¿ì¼±ÇÏ¿© ½ÃÇàµÇ´Â °ÍÀÌ º¸ÅëÀÔ´Ï´Ù. ƯÈ÷ ¼±º°°Ë»ç(screening examination)·Î´Â ´Ù¸¥ °Ë»ç°¡ µû¸¦ ¼ö ¾ø´Â ÀåÁ¡ÀÌ ¸¹ÀÌ ÀÖ½À´Ï´Ù. ±×·¯³ª 30¼¼ ÀÌÀüÀÇ ¿©¼ºÀº À¯¹æÁ¶Á÷ÀÌ Ä¡¹ÐÇÑ °ü°è·Î À¯¹æÃÔ¿µ¼ú¿¡¼­ º´º¯ÀÌ Àß º¸ÀÌÁö ¾Ê´Â °æ¿ì°¡ Àִµ¥, ÀÌ·± °æ¿ì´Â ÃÊÀ½ÆÄ °Ë»ç¸¦ ¿ì¼±ÀûÀ¸·Î ÇÒ ¼öµµ ÀÖ½À´Ï´Ù. ±×·¯³ª Ä¡¹ÐÀ¯¹æÀÌ¶óµµ À¯¹æ¾ÏÀÇ Ãʱ⠼ҰßÀÎ ¹Ì¼¼¼®È¸È­´Â ÃÊÀ½ÆÄ»ó Àß º¸ÀÌÁö ¾ÊÀ¸¹Ç·Î, À¯¹æ¾ÏÀÇ À§ÇèÀÌ ÀÖ´Â °æ¿ì¶ó¸é ¹Ýµå½Ã À¯¹æÃÔ¿µ¼úÀÌ ÇÊ¿äÇÕ´Ï´Ù.



ÃÊÀ½ÆÄÃÔ¿µ¼ú(ultrasonography)

ÃÖ±Ù ÄÄÇ»ÅÍÀÇ ±Þ¼ÓÇÑ ¹ß´Þ·Î ÃÊÀ½ÆÄ ±â±âÀÇ ¿µ»ó°ú °ø°£Çػ󵵰¡ ±Þ°ÝÈ÷ ÁÁ¾ÆÁ®(high resolution US), ÀÌÁ¦ ÃÊÀ½ÆÄ °Ë»ç´Â À¯¹æÃÔ¿µ¼ú ´ÙÀ½ÀÇ ÁÖ¿ä °Ë»ç°¡ µÇ¾ú½À´Ï´Ù. ¶ÇÇÑ ¾ÆÁ÷±îÁö´Â ÃÊÀ½ÆÄ°Ë»ç°¡ À¯¹æ¼±º°°Ë»ç·Î ±× È¿°ú°¡ Áõ¸íµÇÁö ¾Ê¾ÒÀ¸³ª, ÃÖ±ÙÀÇ ¿¹ºñº¸°íµéÀº ÃÊÀ½ÆÄ°¡ À¯¹æÃÔ¿µ¼ú ¶Ç´Â ÃËÁø¿¡¼­ ¹ß°ßÇÏÁö ¸øÇÑ ¾ÆÁÖ ÀÛÀº À¯¹æ¾ÏÀ» ã¾Æ³¾ ¼ö ÀÖ¾ú´Ù°í ¹ßÇ¥Çϰí ÀÖ½À´Ï´Ù.

¶ÇÇÑ ÃÊÀ½ÆÄ´Â º´º¯À» Áø´ÜÇϰí, ¾ÏÀÌ ÀǽɵǴ º´º¯À» ÃÊÀ½ÆÄ À¯µµÇÏ¿¡ Á¶Á÷»ý°ËÀ» °¡´ÉÇÏ°Ô ÇÏ¿© ¼ö¼ú¿¡ ÀÇÇÑ Á¶Á÷»ý°ËÀ» °ÅÀÇ ´ëÄ¡ÇÒ ¼ö ÀÖ½À´Ï´Ù. ƯÈ÷ Çѱ¹ ¿©¼ºÀÇ À¯¹æÀº ¼¶À¯Á¶Á÷ÀÌ Ç³ºÎÇÏ¿© Áö¹æÁ¶Á÷ÀÌ ¸¹Àº ±¸¹ÌÀÇ ¿©¼ºº¸´Ù À¯¹æÃÔ¿µ¼ú¸¸À¸·Î À¯¹æÀÇ º´º¯À» ¹ß°ßÇÏ´Â °ÍÀÌ ¾î·Æ±â¿¡, À¯¹æÃÔ¿µ¼ú°ú À¯¹æÃÊÀ½ÆÄ°Ë»ç¸¦ µ¿½Ã¿¡ ½ÃÇàÇÏ´Â °ÍÀÌ ¸¹Àº µµ¿òÀ» ÁÝ´Ï´Ù.



À¯°üÁ¶¿µ¼ú(ductography)

ÇÑÂÊ À¯µÎÀÇ ÇÑ ±¸¸Û¿¡¼­ Áö¼ÓÀûÀ¸·Î Ç÷¼ºÀ̳ª, ¸¼Àº À¯ÁóÀÌ ºÐºñµÉ ¶§, À¯°üÀ̳ª ±× ÁÖÀ§ÀÇ º´º¯ÀÌ ÀÖ´ÂÁö, ±× À§Ä¡´Â ¾îµðÀÎÁö¸¦ ¾Ë¾Æº¸±â À§ÇØ ½ÃÇàÇÏ´Â °Ë»çÀÔ´Ï´Ù. ¹æ»ç¼± Á¶¿µÁ¦¸¦ À¯ÁóÀÌ ºÐºñµÇ´Â ±¸¸ÛÀ¸·Î ¼Ò·® ÁÖÀÔÇÏ¿© °Ë»çÇÕ´Ï´Ù.

Àü»êÈ­´ÜÃþÃÔ¿µ(computed tomography, CT)

ÄÄÇ»ÅÍ ´ÜÃþ ÃÔ¿µ(CT ÃÔ¿µ)À¸·Î À¯¹æÀÇ º´º¯À» »ïÂ÷¿øÀûÀ¸·Î °üÂûÇÒ ¼ö ÀÖ½À´Ï´Ù. °£È¤ 2°³ ÀÌ»óÀÇ º´º¯ÀÌ Àǽɽº·¯¿î °æ¿ì È®ÁøÇϱâ À§ÇØ CT¸¦ ÇÒ ¼ö ÀÖ½À´Ï´Ù. ±×·¯³ª ºñ¿ë¹®Á¦³ª ¹æ»ç¼± ³ëÃâÀÇ ¿°·Á·Î, À¯¹æ¾ÏÀ» ¹ß°ßÇϱâ À§ÇÑ ÀÏÂ÷ÀûÀÎ Áø´Ü ¹æ¹ýÀ¸·Î ȤÀº ¸Å³â ÃÔ¿µÇÏ´Â °ÍÀº ¾î¿ï¸®Áö ¾Ê½À´Ï´Ù. Æó³ª º¹ºÎ Àå±â µî¿¡ ÀüÀ̰¡ ÀǽɵǴ °æ¿ì ÁÖ·Î »ç¿ëµÇ¾îÁý´Ï´Ù.

ÀÚ°¡°ø¸í¿µ»ó¼ú(magnetic resonance imagine)

À¯¹æÀÚ±â°ø¸í¿µ»óÀº À¯¹æÃÔ¿µ¼úº¸´Ù À¯¹æÁ¾±« Áø´ÜÀÇ Æ¯À̵µ°¡ ³ô°í, À¯¹æ°Ë»ç½Ã¿¡ ¹æ»ç¼±Á¶»çÀÇ À§ÇèÀÌ ¾ø´Â ÀåÁ¡ÀÌ ÀÖ½À´Ï´Ù. ´ÜÁ¡Àº °¡°ÝÀÌ ¸Å¿ì ºñ½Î¸ç, Áø´Ü¿¡ ¿¹¹Îµµ´Â ³ôÀ¸³ª ƯÀ̵µ°¡ »ó´ëÀûÀ¸·Î ³·À¸¸ç, ¹Ì¼¼¼®È¸È­¸¦ °Ë»çÇϱ⿡´Â ±×¸® ¿ëÀÌÇÏÁö ¾ÊÀ¸¸ç, °Ë»ç½Ã°£µµ ¸¹ÀÌ ÇÊ¿äÇÏ´Ù´Â Á¡ÀÔ´Ï´Ù. ¾ÆÁ÷ º¸ÆíÀûÀ¸·Î ÀÌ¿ëµÇÁö´Â ¾Ê°í ´Ù¸¥ °Ë»çÀÇ º¸Ãæ°Ë»ç·Î »ç¿ëµÉ ¼ö ÀÖ½À´Ï´Ù.

µ¿À§¿ø¼Ò°Ë»ç(radioisotopic study)

PET(positron emission tomography)¿Í SPECT(single-photon emission imaging and computed tomography) µîÀÌ ÀÖÀ¸¸ç, À¯¹æ¿¡ ÀÖ´Â Æ÷µµ´çÀÇ Á¤µµ¸¦ ¿µ»óÈ­ÇÏ´Â ´ë»ç¼º ȤÀº »ý¸®Àû ¿µ»ó±â¹ýÀÔ´Ï´Ù. ¾Ï¼¼Æ÷´Â Á¤»ó¼¼Æ÷¿¡ ºñÇØ ´õ ¸¹Àº Æ÷µµ´çÀ» ¼ÒºñÇϱ⠶§¹®¿¡ Á¤»ó ¼¼Æ÷¿¡ ºñÇØ Æ÷µµ´çÀÌ ´õ ¸¹ÀÌ ÇÔÀ¯µÇ¾î ÀÖ½À´Ï´Ù. ÀÌ·± °Ë»ç Àåºñ·Î´Â È­Çпä¹ýÀÇ ¹ÝÀÀÁ¤µµ¸¦ ÃøÁ¤Çϰí, °Üµå¶ûÀÌ ºÎÀ§¿¡ ¾ÏÀÌ ¾ó¸¶³ª ÆÛÁ®ÀÖ´ÂÁö ¿µ»óÈ­ÇÒ ¼ö ÀÖ½À´Ï´Ù.

Á¶Á÷°Ë»ç

¼¼Ä§ ÈíÀΰ˻ç, ÀÚµ¿±ÇÃÑÀ» ÀÌ¿ëÇÑ Á߾ӺΠÁ¶Á÷»ý°Ë, ¸¾¸ðÅè Á¶Á÷°Ë»ç ¹× ¼ö¼úÀû Á¶Á÷°Ë»çµî ´Ù¸¥ °Ë»ç»ó ÀÌ»óÀÌ ¹ß°ßµÇ¾úÀ»½Ã³ª ¾ÏÀÌ Àǽɵɶ§ È®ÁøÀ» À§ÇØ ÇÏ´Â ¹æ¹ýÀÔ´Ï´Ù. °Ë»çÇÏ´Â µµ±¸¿¡ µû¶ó À§¿Í °°ÀÌ ¿©·¯ ¹æ¹ýÀ¸·Î ³ª´¹´Ï´Ù.



À¯¹æ¾ÏÀÇ ¿¹¹æ

½Ä»ýȰÀ» °³¼±

À¯¹æ¾ÏÀ» ¿¹¹æÇÏ·Á¸é ¿ì¼± ½Ä»ýȰÀ» °³¼±ÇØ¾ß ÇÕ´Ï´Ù. »ìÀÌ Âñ ¼ö ÀÖ´Â ±â¸§Áø À½½ÄÀ̳ª À¯¹æ¿¡ ÁÁÁö ¾ÊÀº ´ã¹è, Ä¿ÇÇ, È«Â÷, Äݶó, ÃÊÄݸ´ µî Ä«ÆäÀÎÀÌ ¸¹Àº À½½ÄÀº ÇÇÇÏ´Â °ÍÀÌ ÁÁ½À´Ï´Ù. µÇµµ·ÏÀÌ¸é ¼úÀ» Àû°Ô ¸¶½Ã°í, ºñŸ¹Î A, C, E°¡ ¸¹ÀÌ µé¾î ÀÖ´Â À½½Ä°ú ä¼Ò¸¦ ¸¹ÀÌ ¼·ÃëÇØ¾ß ÇÕ´Ï´Ù. ÇÇÀÓ¾à µî È£¸£¸ó Á¦Á¦¸¦ »ï°¡°í ¾î¸± ¶§ºÎÅÍ ¹æ»ç¼±À» ¸¹ÀÌ ÂØ´Â Àϵµ ÇÇÇØ¾ß ÇÕ´Ï´Ù. ¾Æ±â¿¡°Ô ¸ðÀ¯¸¦ ¼öÀ¯ÇÏ´Â °Íµµ À¯¹æ¾Ï ¿¹¹æ¿¡ µµ¿òÀÌ µÈ´Ù°í ÇÕ´Ï´Ù.

ÇÑ´Þ¿¡ ÇѹøÀº ÀÚ°¡°ËÁø, Àϳ⿡ ÇѹøÀº À¯¹æ¾Ï °Ë»ç

¾ÏÀº ÀÏÂï ¹ß°ßÇØ ÀÏÂï Ä¡·áÇÏ´Â °ÍÀÌ È¯ÀÚÀÇ ¿¹ÈÄ¿¡ Å« ¿µÇâÀ» ¸¶Ä¨´Ï´Ù. µû¶ó¼­ ÇÑ ´Þ¿¡ Çѹø¾¿ ÀÚ°¡°ËÁøÇÏ´Â °ÍÀÌ È¯ÀÚÀÇ ¿¹ÈÄ¿¡ Å« ¿µÇâÀ» ¹ÌĨ´Ï´Ù. µû¶ó¼­ ÇÑ ´Þ¿¡ Çѹø¾¿ ÀÚ°¡°ËÁø¹ýÀ» ½Ç½ÃÇϰí 1³â¿¡ Çѹø¾¿ À¯¹æ¾Ï °Ë»ç¸¦ ¹Þ´Â´Ù¸é À¯¹æ¾ÏÀÌ ¹ßº´Çß´Ù ÇØµµ ÀÛÀº Å©±âÀÏ ¶§

¸¾¸ðÅè

¾ç¼ºÀÎ À¯¹æÁ¾±«ÀÎ °æ¿ì À¯¹æ¿¡ »óó¸¦ ³²±âÁö ¾Ê°í Á¾±«¸¦ Á¦°ÅÇÏ´Â ¹æ¹ýÀÔ´Ï´Ù. À¯¹æÀÇ ÇǺο¡ ÀÛÀº(¾à 5mm)Àý°³¸¦ ÇÑ ÈÄ¿¡ ¸¾¸ðÅè(mammotome)À̶ó´Â ±â±¸¸¦ »ðÀÔÇÏ¿© Á¾±«¸¦ Àß¶ó³À´Ï´Ù. ÅëÁõÀÌ °ÅÀÇ ¾ø°í, ¸¶Ãëµµ ÇÊ¿ä¾øÀ¸¸ç, ¼ö¼ú½Ã°£µµ ª°í, ¹Ù·Î ±Í°¡ÇÒ ¼ö ÀÖ½À´Ï´Ù.




À¯¹æ¾ÏÀÇ ¹ß»ý

»êÈ­ºÎ´ã(oxidative stress)

  • 01. ÀÚÀ¯¶óµðÄ®ÀÇ DNA°ø°ÝÀ¸·Î ¹ß¾Ï °³½Ã
  • 02. Ç×»êÈ­¹°ÁúÀÇ ¼·Ãë·Î Áö¿¬ ȤÀº ¿¹¹æ

¿¡½ºÆ®·Î°Õ(estrogen)

  • 01. À¯ÇØÇÑ ¿¡½ºÆ®·Î°Õ: ¾ÏÀ» À¯¹ß
  • 02. À¯¿ëÇÑ ¿¡½ºÆ®·Î°Õ: ¾ÏÀ» ¿¹¹æ
  • 03. ½ÄÀÌ¿ä¹ýÀ¸·Î ¿¡½ºÆ®·Î°Õ ³óµµ Á¶Àý

½ÄÀÌ¿ä¹ýÀÇ Á߿伺

½Äǰ ¼·Ãë°¡ ¹ß»ý¿øÀÎ °íÁö¹æ ½Ä»ç, Àú½ÄÀ̼¶À¯¼Ò ¼·Ãë
¿µ¾ç¼Ò ´ë»ç¿Í °ü·ÃµÈ Áúȯ ´ç´¢, °íÇ÷¾Ð, °£Áúȯ, ½ÅÀåÁúȯ, ¾Ï
Áúº´Ä¡À¯¸¦ À§ÇÑ ÃÖÀûÀÇ ¿µ¾ç»óÅ À¯Áö ¿µ¾ç»óÅ °³¼±À¸·Î ȸº¹¿¡ µµ¿ò

¿¡½ºÆ®·Î°Õ°ú ½Ä»ýȰ

ÀúÁö¹æ Áö¹æ¼·Ãë·®°ú À¯¹æ¾Ï ¹ß»ýºñÀ²Àº Á¤ºñ·Ê
°í ¼¶À¯Áú ½ÄÀÌ¿ä¹ý ¼¶À¯ÁúÀº ¿¡½ºÆ®·Î°ÕÀ» ÈíÂø, ¹è¼³
Àν¶¸° Àν¶¸°Àº ¿¡½ºÆ®·Î°ÕÀÇ È¿°ú¸¦ ÃËÁø
¾ËÄÚ¿Ã ¾ËÄÚ¿ÃÀº ¿¡½ºÆ®·Î°Õ ºÐºñ¸¦ ÃËÁø

À¯¹æ¾Ï ÀÌ·¸°Ô ¸ÔÀÚ (Âü°í:À¯¹æ¾Ï¿¹¹æ ½ÄÀÌ¿ä¹ý, º¾ ¾Æ³ëÆ®)

Áö¹æÀ» °ñ¶ó¸ÔÀÚ

ÇÇÇØ¾ß ÇÒ Áö¹æ - ¿À¸Þ°¡-6( ¿Á¼ö¼ö±â¸§,Äá±â¸§,¸é½ÇÀ¯,Æ÷µµ¾¾À¯¡¦)
- Æ®·»½ºÁö¹æ( ¸¶°¡¸°, ¼îÆ®´×, ´ëµÎ°æÈ­À¯¡¦)
- Æ÷È­Áö¹æ(µÅÁö±â¸§, ¼Ò±â¸§, ¹öÅÍ¡¦)
¸Ô¾î¾ß ÇÒ Áö¹æ - ¿À¸Þ°¡-3(µî Ǫ¸¥ »ý¼±, µé±â¸§)
- ¿À¸Þ°¡-9(¿Ã¸®ºêÀ¯ ¤Ñ Ä«³î¶óÀ¯)

Ç×¾Ïä¼Ò¸¦ ¸ÔÀÚ

½ÊÀÚÈ­°úÀÇ Ã¤¼Ò ¾ç¹èÃß, ºÎ·ÎÄݸ®, Äݸ®Çöó¿ö, û°æÃ¤, ¹èÃß, ¹«
¹ö¼¸ °¢Á¾ ¹ö¼¸Àº ¸é¿ª·ÂÀ» »ó½Â
¸¶´Ã ¸¶´ÃÀº ÃÖ°íÀÇ Ç׾ϽÄǰ ¹Ýµå½Ã ÀÍÇô¼­ ¸ÔÀÚ

Ç÷´çÁö¼ö°¡ ³·Àº ½ÄǰÀ» ¸ÔÀÚ

Ç÷´çÁö¼ö¶õ? ½Äǰ¼·Ãë ÈÄ Ç÷´çÀÇ Áõ°¡ Á¤µµ Ç÷´çÁö¼ö´Â ´Ü¸À°ú ºñ·ÊÇÏÁö ¾Ê´Â´Ù.
Ç÷´çÁö¼ö°¡ ³ôÀº ½Äǰ(Á¤Á¦µÈ ź¼öÈ­¹°) °¢Á¾ ¹ö¼¸Àº ¸é¿ª·ÂÀ» »ó½Â
Ç÷´çÁö¼ö°¡ Áß°£ÀÎ ½Äǰ °í±¸¸¶, ¿Á¼ö¼ö, ¹Ù³ª³ª, ¸Þ¹Ð
Ç÷´çÁö¼ö°¡ ³·Àº ½Äǰ Äá, º¸¸®, Å丶Åä, ¿À·»Áö, »ç°ú

¼¶À¯ÁúÀ» ¸¹ÀÌ ¸ÔÀÚ

°¡¿ë¼º ½ÄÀ̼¶À¯¼Ò ´çÁúÀÇ Èí¼ö¸¦ Áö¿¬½ÃÄÑ Àν¶¸° ºÐºñ¸¦ ¾ïÁ¦ ÇØÁ¶·ù, °úÀÏ, ÀÙä¼Ò¿¡ dzºÎ
ºÒ¿ë¼º ½ÄÀÌ ¼¶À¯¼Ò - ¿¡½ºÆ®·Î°ÕÀ» ÈíÂøÇÏ¿© ¹è¼³
- °î·ù ²®Áú, »Ñ¸®Ã¤¼Ò, ÁÙ±âä¼Ò¿¡ dzºÎ
- ºÎÀÛ¿ë ÁÖÀÇ : ÃæºÐÇÑ ¼öºÐ¼·Ãë, ¼­¼­È÷ Áõ·®

Ç×»êÈ­¹°ÁúÀ» ¸ÔÀÚ

DNA°ø°ÝÀ» ¾ïÁ¦ Ç×»êÈ­¹°ÁúÀº ÀÚÀ¯¶óµðÄ®ÀÇ DNA°ø°ÝÀ» ¾ïÁ¦
Ç×»êÈ­¿µ¾ç¼Ò ºñŸ¹Î C, ºñŸ¹Î E, Ä«·ÎƼ³ëÀ̵å
Ç×»êÈ­È¿°ú°¡ ¶Ù¾î³­ ½Äǰ £Àº ä¼Ò: ÄÉÀÏ, ½Ã±ÝÄ¡,ºê·ÎÄݸ®,ºñÆ®,ºÓÀºÇǸÁ ¸¶´Ã, ³ìÂ÷

¾ËÄÚ¿ÃÀ» Á¦ÇÑÇÏÀÚ

01. ´Ù·®ÀÇ ¾ËÄÚ¿Ã ¼·Ãë´Â À¯¹æ¾Ï ÃËÁø
02. ¼Ò·®ÀÇ ¾ËÄڿõµ ±ÝÇÏ´Â °ÍÀÌ ¹Ù¶÷Á÷ÇÏ´Ù

ºñŸ¹Î D ¼·Ãë¿Í ÇÕ¼ºÀ» ´Ã¸®ÀÚ

01. ºñŸ¹Î D´Â À¯¹æ¾ÏÀ» ¾ïÁ¦
02. Àڿܼ±À» ¹Þ¾Æ ÇǺο¡¼­ ÇÕ¼º
03. µî Ǫ¸¥ »ý¼±, ¸»¸° ¹ö¼¸, °­È­°î·ù, °­È­¿ìÀ¯

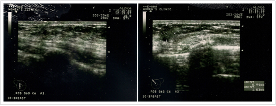
MUCINOUS CARCINOMA IN BREAST (Á¡¾×¼º À¯¹æ¾Ï)

  • ȯÀÚ¸í : 0 0 0
  • Áø·áÀÏ : 2010.11
  • Áø´Ü°á°ú : MUCINOUS CARCINOMA


»ó±â ȯÀÚ´Â ¿ÞÂÊ °¡½¿¿¡ ¸ù¿ì¸®(BREAST MASS)°¡ ¸¸Á® Áø´Ù°í ³»¿øÇÏ¿© ÃÊÀ½ÆÄ °ËÁø°ú (ÃÊÀ½ÆÄ »çÁø)





Á¶Á÷ °Ë»ç ¸¦ ½ÃÇà ÇÏ¿© °Ë»ç °á°ú »ó±â Áø´Ü¸í(Á¡¾×¼º À¯¹æ¾Ï)À¸·Î Áø´Ü µÇ¾î (Á¶Á÷°Ë»ç°á°úÁö)





Àü¿øÀ» °áÁ¤ C´ëÇк´¿ø ¾Ï¼¾ÅÍ¿¡¼­ À¯¹æ ÀüÀýÁ¦¼ú ¹× °¨½Ã ¸²ÇÁÀý »ý°Ë¼ú À» ½ÃÇà ÇÏ¿´°í ¼ö¼ú ÈÄ ÇâÈÄ Ä¡·á °èȹÀº Ç× È£¸£¸óÁ¦(Tamoxifen) Ä¡·á°¡ °áÁ¤µÈ ȯÀÚ ÄÉÀ̽º ÀÔ´Ï´Ù.




À¯¹æ¾Ï YOUTUBE ¿µ»ó º¸±â