"Áö±ÝÀº ·ÎµùÁß!"
img
043-223-6755
img
ÀÌÈ­º§¶ó ¼Ò½Ä
img
¿Â¶óÀÎ »ó´ã
img
±Ý¾× ¾È³»
img
ÀÌÈ­º§¶ó¿©¼ºÀÇ¿ø ¼Ò½Ä
img
¿Â¶óÀÎ »ó´ã
³ª°¡±â

Áú¿°À̶õ?

¿©¼ºÀÌ »êºÎÀΰú¿¡ ³»¿øÇÏ´Â °¡Àå ÈçÇÑ Áõ»óÀÔ´Ï´Ù. ÁÖ·Î ³Ã¿¡¼­ ³¿»õ°¡ ³ª°í °¡·Æ°í ÀÛ¿­°¨, ºÒÄè°¨, ÅëÁõ, ºÎÁ¾ µîÀÇ ÁÖ Áõ»óÀÔ´Ï´Ù. Á¤»óÀûÀÎ Áú ºÐºñ¹°Àº Èò»öÀ̸ç, ³¿»õ°¡ ³ªÁö ¾Ê°í, °¡·Á¿òÁõ, µû°¡¿òÁõ µîÀº ¾øÀ¸¸ç, ¹è¶õ±â, ¿ù°æ Àü, ÀӽŠ½Ã´Â ºÐºñ¹°·®ÀÌ ¸¹¾ÆÁý´Ï´Ù.

Á¤»óÀûÀÎ Áú ºÐºñ¹°Àº Áú¿¡¼­ ¶³¾îÁ® ³ª¿À´Â »óÇǼ¼Æ÷¿Í ¼¼Æ÷ »çÀÌÀÇ Á¶Á÷¾×ÀÌ ¹ÛÀ¸·Î ½º¸ç ³ª¿À´Â »ïÃâ¾× ¶§¹®¿¡ »ý±é´Ï´Ù. ÁúÀÇ Ç¥¸éÀº ÇÇºÎ¿Í ¸¶Âù°¡Áö·Î ÆíÆò ¼¼Æ÷·Î ÀÌ·ç¾îÁ®ÀÖ½À´Ï´Ù. ÆíÆò¼¼Æ÷´Â ¼¼Æ÷°¡ 4-5ÃþÀÇ ¿©·¯ ÄÑ·Î µÇ¾îÀÖ¾î ¸Ç ¾Æ·¡¿¡¼­´Â ÀÚ²Ù ¼¼Æ÷°¡ »õ·Î »ý±â°í, ¸Ç À­ Ç¥¸éÀÇ ¼¼Æ÷´Â ¼ö¸íÀÌ ´ÙÇÏ¸é ¶³¾îÁ® ³ª°¡°Ô µË´Ï´Ù. ÇǺο¡¼­ ¶§°¡ ¹þ°ÜÁö´Â °Í°ú °°Àº ÀÌÄ¡ÀÔ´Ï´Ù. ±×·±µ¥ ÇÇºÎ¿Í ´Þ¸® ÁúÀÇ °æ¿ì¿¡´Â ¼¼Æ÷¿¡¼­ ³ª¿À´Â ¹°±â(»ïÃâ¾×)°¡ °¡ÇØÁ® ¾×»ó ºÐºñ¹°ÀÌ »ý±â°ÔµË´Ï´Ù. Á¤»óÀûÀÎ Áú ºÐºñ¹°ÀÇ ¶Ç ÇѰ¡Áö °æ¿ì·Î´Â ÀڱðæºÎ¿¡¼­ ³ª¿À´Â Á¡¾×À» µé ¼ö ÀÖ½À´Ï´Ù. ÀÚ±ÃÀÇ ÀÔ±¸¸¦ ÀڱðæºÎ¶ó°í Çϴµ¥, ¹è¶õ±â°¡ µÇ¸é ÀڱðæºÎ´Â ¼º È£¸£¸óÀÇ ¿µÇâÀ» ¹Þ¾Æ ¸¼°í ²öÀû²öÀûÇÑ Á¡¾×À» ºÐºñÇÕ´Ï´Ù.

ÀÌ»óÀÇ Á¤»óÀûÀÎ Áú ºÐºñ¹°Àº »öÀÌ Èñ°í ¼ØÃ³·³ ¹¶ÃÄÁö´Â ¼ºÇâÀÌ ÀÖ½À´Ï´Ù. ¾çÀº ÆÒƼ¿¡ ¾à°£ ¹¯´Â Á¤µµÁö¸¸ ¹è¶õ±â ¶§´Â ¼ºÈ£¸£¸óÀÇ ¿µÇâÀ¸·Î °æºÎÀÇ Á¡¾×ÀÌ Áõ°¡Çϱ⠶§¹®¿¡ ÆÒƼ°¡ ´Ù¼Ò Á¥À» ¼ö ÀÖ½À´Ï´Ù. Áú³»ÀÇ »êµµ´Â °­ÇÑ »ê¼ºÀ̸ç, Á¤»óÀûÀ¸·Î ±ÕÀÌ »ì°í ÀÖ½À´Ï´Ù. »çÃá±â ÀÌÀüÀÇ Áú³»´Â ÇÇºÎ¿Í À¯»çÇÑ »êµµÀÎ pH 6~8 Á¤µµÀÇ Áß¼º¿¡ °¡±î¿î »ê¼ºÀ» À¯ÁöÇÕ´Ï´Ù. ±×·¯´Ù°¡ »çÃá±â°¡ µÇ¾î ¼ºÈ£¸£¸óÀÌ ºÐºñµÇ±â ½ÃÀÛÇÏ¸é ¸öÀÇ º¯È­¿Í ÇÔ²² Áú »óÇÇ ¼¼Æ÷ÀÇ Áõ½ÄÀÌ ½ÃÀ۵˴ϴÙ. ¼¼Æ÷ ³»¿¡´Â ±Û¸®ÄÚ°Õ À̶ó´Â ¿µ¾çºÐÀÌ ÃàÀûµÇ±â ½ÃÀÛÇϰí, ÀÌ´Â ¼¼Æ÷³ª ±Õ¿¡¼­ ³ª¿À´Â È¿¼Ò¿¡ ÀÇÇØ Á¥»êÀ¸·Î ºÐÇØµË´Ï´Ù. ±× °á°ú Áú³»ÀÇ pH´Â 4.5 ÀÌÇÏÀÇ °­ÇÑ »ê¼ºÀÌ µË´Ï´Ù.

Áú³»¿¡´Â ´ëÀå, ¼ÒÀå µî°ú ¸¶Âù°¡Áö·Î ´ë¿©¼¸ °¡ÁöÀÇ ±ÕÀÌ »ì°í Àִµ¥, ±× ´ëºÎºÐÀº '¶ôÅä¹Ù½Ç¸®'¶ó´Â ±ÕÀÔ´Ï´Ù. ÀÌ ±ÕÀº ±Û¸®ÄÚ°ÕÀ» Á¥»êÀ¸·Î ºÐÇØÇØ ¾çºÐÀ¸·Î ÃëÇϴµ¥, À̶§ÀÇ ´ë»ç »ê¹°ÀÎ Á¥»êÀÌ Áú³» »êµµ¸¦ ÀÏÁ¤ÇÏ°Ô À¯Áö½ÃÄÑ ÁÖ´Â ¿ªÇÒÀ» ÇÕ´Ï´Ù Áú¿°¿¡ °É¸° °æ¿ì ¿©·¯ °¡Áö Áõ»óÀÌ ³ªÅ¸³¯ ¼ö ÀÖÁö¸¸ °¡Àå ÈçÇÏ°Ô ³ªÅ¸³ª´Â Áõ»óÀº ³Ã¡¤´ëÇÏÁõÀÔ´Ï´Ù. ÆÒƼ°¡ Á¥À» Á¤µµ·Î Áú ºÐºñ¹°ÀÌ ¸¹°Å³ª »ö±òÀÌ ÁøÇϸ鼭 °í¸§Ã³·³ È带 °æ¿ì, »ý¼± ºñ¸°³» °°Àº ¾ÇÃë°¡ ³ª´Â °æ¿ì´Â ³Ã¡¤´ëÇÏÁõÀ¸·Î ºÁ¾ß ÇϹǷΠ¹Ýµå½Ã º´¿øÀ» ¹æ¹®ÇØ¾ß ÇÕ´Ï´Ù.




  • ¿ÜÀ½ºÎ °¡·Á¿òÁõ
  • µû°¡¿ò Áõ»ó
  • ³¿»õ³ª´Â Èò»ö ºÐºñ¹°
  • ³ë¶õ»öÀÇ ºÐºñ¹°
  • Æó°æ±â ÀÌÈÄ¿¡´Â °ÇÁ¶ÇÏ°í ¼º±³Åë, ÁúÃâÇ÷ µîÀÌ ¿Â´Ù.



³Ã´ëÇÏÁõ°ú Áú¿°Àº µ¿ÀǾ ¾Æ´Õ´Ï´Ù.¹°·Ð Áú¿°ÀÇ °¡Àå ÈçÇÑ Áõ»óÀÌ ³Ã¡¤´ëÇÏÁõÀ̱ä ÇÏÁö¸¸, Áú¿° ¿Ü¿¡µµ Àڱà °æºÎ¿°À̳ª ÀڱðæºÎÀÇ Æú¸³(»ìȤ)ÀÌ ÀÖÀ» °æ¿ì¿¡µµ ´ëÇÏÁõÀÌ ³ªÅ¸³¯ ¼ö ÀÖ½À´Ï´Ù. Áú¿°¿¡ °É¸®°Ô µÇ¸é Áú ÀÔ±¸ÀÇ °¡·Á¿òÁõÀ̳ª È­²ö°Å¸², ¼º±³½Ã ÁúÀÇ ÀÚ±ØÀ¸·Î ÀÎÇÑ ÅëÁõ µîÀÌ ÀÖÀ» ¼ö ÀÖ½À´Ï´Ù.

Áú¿°À» ¼ºº´À̶ó°í »ý°¢ÇÏ´Â »ç¶÷ÀÌ Àִµ¥, ±×°ÍÀº À߸øµÈ »ý°¢ÀÌ´Ù. Áú¿° Áß¿¡¼­ ¼ºº´ÀÌ °¡Àå ¸ÄÀº ºñÁßÀ» Â÷ÁöÇϰí ÀÖÀ¸³ª, ±× ¹Û¿¡ ¸íÈ®ÇÏÁö ¾ÊÀº ¿øÀÎÀ¸·ÎÀÎÇØ Á¤»óÀûÀ¸·Î ¼­½ÄÇÏ´Â ±ÕÀÇ ±ÕÇüÀÌ ±úÁ® ¹ß»ýÇÏ´Â Áú¿°µµ ÀÖ°í, Æó°æ ÀÌÈÄ È£¸£¸óÀÌ ºÎÁ·ÇÏ¿© »ý±â´Â Áú¿°µµ ÀÖ½À´Ï´Ù. Áú¿°ÀÇ Á¾·ù¸¦ ´ÙÀ½¿¡¼­ »ìÆìº¾½Ã´Ù.

STD Á¤¹Ð³Ã°Ë»ç 12Á¾

Trichomonas vaginalis ÁúÆ®¸®Äڸ𳪽º
Mycoplasma hominis ¸¶ÀÌÄÚÇöóÁ È£¹Ì´Ï½º
Mycoplasma genitalium ¸¶ÀÌÄÚÇöóÁ Á¦´ÏÅ»¸®Äñ
Chlamydia trachomatis Ŭ¶ó¹Ìµð¾Æ Æ®¶óÄÚ¸¶Æ¼½º
Neissera gonorrhoeae ÀÓÁú
Ureaplasma parvum À¯·¹¾Æ ÇöóÁ ÆÄºÕ
Ureaplasma urealyticum À¯·¹¾ÆÇöóÁ À¯·¹¾Ë¸®Æ¼Äñ
Candida aibicans Ä­µð´Ù
Treponema pallidum ¸Åµ¶
Gardnerella vaginalis °¡µå³Ú¶ó
HSV type1 Ç츣Æä½º ±¸°­°¨¿°
HSV type2 Ç츣Æä½º ¼º±â°¨¿°

Áú¿°ÀÌ ÀÖÀ» ¶§ Áú¼ÓÀ» Á÷Á¢ º¸¸é ´ÙÀ½°ú °°ÀÌ º¸ÀÔ´Ï´Ù.

ÇÕº´ÁõÀÌ ¹«¼­¿î ¼¼±Õ¼ºÁúÁõ

°ú°Å 'ºñƯÀ̼º Áú¿°' ¶Ç´Â '°¡µå³×·¼¶ó Áú¿°'À̶ó°í ºÒ·È´ø ¼¼±Õ¼º ÁúÁõÀº ¾î¶² ¿øÀÎÀ¸·Î ÀÎÇØ Áú³»ÀÇ Á¤»ó ¼­½Ä±ÕÀÌ ¼¼·ÂÀ» ÀÒ°í ÀüüÀÇ 1%¹Ì¸¸À¸·Î Á¸ÀçÇÏ´ø Çø±â¼º ¼¼±ÕÀÌ 100¹è, 1000¹è·Î Áõ½ÄÇÏ¿© »ý±â´Â Áú¿°ÀÔ´Ï´Ù. »ê¼Ò¿ÍÀÇ °ü°è·Î ¼¼±ÕÀÇ Á¾·ù¸¦ ºÐ·ùÇßÀ» ¶§, »ê¼Ò°¡ Á¸ÀçÇÒ ¶§ Àß ¹ø¼ºÇÏ´Â °ÍÀ» È£±â¼º ¼¼±ÕÀ̶ó Çϰí, »ê¼Ò°¡ ¾ø¾î¾ß Àß ÀÚ¶ó´Â ¼¼±ÕÀ» Çø±â¼º ¼¼±ÕÀ̶ó°í ÇÕ´Ï´Ù. Áú ¼¼Æ÷ÀÇ ¿°Áõº¸´Ù´Â Áõ»óÀÌ ÇöÀúÇϹǷΠ'Áú¿°' ´ë½Å¿¡ 'ÁúÁõ'À̶ó´Â Áø´ÜÀ» ºÙÀÌ°Ô µÇ¾ú½À´Ï´Ù. »ý¸® ÀüÈÄÀÇ ÀæÀº ¼º°ü°èµµ ¿øÀÎ Á¤»ó ¼­½Ä±ÕÀÇ À§¼¼°¡ ¾àÇØÁö´Â °Í°ú Áú³» »êµµ°¡ ¾àÇØÁö´Â °Í °¡¿îµ¥ ¾î´À °ÍÀÌ ¸ÕÀúÀÎÁö´Â ¾Ë ¼ö ¾øÁö¸¸, ¼­·Î »ó°ü°ü°è°¡ ÀÖ´Â °Í¸¸Àº ºÐ¸íÇÕ´Ï´Ù. Áú³» »êµµ°¡ ¾àÇØÁö´Â ¿äÀÎÀ¸·Î´Â Àڱà °æºÎ°¡ Çæ¾î¼­ »ý±â´Â °ú´ÙÇÑ Á¡¾× ºÐºñ, ȤÀº ¿ù°æ ÀüÈÄ¿¡ °®´Â ÀæÀº ¼º°ü°è³ª Áú ±í¼÷À̱îÁö ½ÉÇÏ°Ô ÇÏ´Â µÞ¹° µîÀÔ´Ï´Ù.

ÀÏ´Ü '¶ôÅä¹Ù½Ç¸®'°¡ Áú³»¿¡¼­ »ç¶óÁø ÈÄ¿¡´Â ´Ù½Ã Á¤»ó ¼­½Ä±ÕÀ¸·Î ÀÚ¸®Àâ±â°¡ ¸Å¿ì ¾î·Á¿ì¹Ç·Î ¸¸¼ºÀûÀ¸·Î ¼¼±Õ¼º ÁúÁõÀÌ Àç¹ßÇÕ´Ï´Ù. °ñ¹Ý¿°À¸·Î ¿Å¾Æ°¡±â ½±´Ù.

¼¼±Õ¼º ÁúÁõÀÌ ÀÖ´Â °æ¿ì¿¡´Â °ñ¹Ý¿°À» ¾ÎÀ» È®·üÀÌ ³ôÀ¸¸ç ƯÈ÷, ¼¼±Õ¼º ÁúÁõÀÌ ÀÖ´Â »óÅ¿¡¼­ ¼ö¼úÀ» ÇÏ°Ô µÇ¸é °ñ¹Ý¿°À¸·Î ¿Å¾Æ°¡±â ½¬¿öÁý´Ï´Ù. ±Þ¼º °ñ¹Ý¿°ÀÎ °æ¿ì¿¡´Â ¿­ÀÌ ¿À¸£¸é¼­ ¾Æ·§¹è¿¡ ½ÉÇÑ º¹ÅëÀÌ ¿À±â ¶§¹®¿¡ ÀÔ¿øÀ» ÇØ¾ßÇϸç, ÇÕº´ÁõÀ¸·Î °í¸§ÁָӴϰ¡ »ý±æ ¼öµµ Àִµ¥ À̶§´Â °³º¹ ¼ö¼úµµ »ý°¢ÇØ¾ß ÇÕ´Ï´Ù. ¶Ç ÈÄÀ¯ÁõÀ¸·Î ³ªÆÈ°üÀÌ ¸·Çô ºÒÀÓÀÌ µÇ±âµµ ÇÕ´Ï´Ù. ÇÑÆí ÀÓ½ÅÁß¿¡ ¼¼±Õ¼º ÁúÁõÀ» ¾Î°ÔµÇ¸é, žƸ¦ µÑ·¯½Î°í ÀÖ´Â ¾ç¸·¿¡ ¿°ÁõÀÌ »ý°Ü ¾ç¼ö°¡ Á¶±â¿¡ ÅÍÁú ¼ö ÀÖ½À´Ï´Ù. ±× ¶§¹®¿¡ Á¶»êÀ» ÇÏ°ÔµÇ¾î ¾Æ±â¿¡°Ô ¹®Á¦°¡ »ý±æ ¼ö ÀÖ½À´Ï´Ù. ¼¼±Õ¼º ÁúÁõÀÇ Áõ»óÀ¸·Î´Â ³Ã¡¤´ëÇÏÁõ°ú ÇÔ²² »ý¼± ºñ¸°³»°¡ ³ª´Â °ÍÀÌ Æ¯Â¡ÀÔ´Ï´Ù. ÀÌ·¯ÇÑ ¾ÇÃë´Â ¼º°ü°è ÈÄ ´õ¿í ½ÉÇØÁö´Âµ¥, ±×°ÍÀº Çø±â¼º ¼¼±ÕÀÇ ´ë»ç¹°ÀÎ '¾Æ¹Î'À̶ó´Â ¹°Áú ¶§¹®ÀÔ´Ï´Ù. ±×·¯³ª ¾ÇÃë°¡ ¾ø´õ¶óµµ ³ÃÀÌ Áõ°¡Çß´Ù¸é Áï½Ã »êºÎÀΰú Àü¹®ÀÇÀÇ Áø´Ü°ú Ä¡·á¸¦ ¹Þ¾Æ¾ß ÇÕ´Ï´Ù.

ºÎºÎ°¡ ÇÔ²² Ä¡·á¹Þ¾Æ¾ß ÇÏ´Â 'Æ®¸®Äڸ𳪽º Áú¿°'

°ú°Å 'ºñƯÀ̼º Áú¿°' ¶Ç´Â '°¡µå³×·¼¶ó Áú¿°'À̶ó°í ºÒ·È´ø ¼¼±Õ¼º ÁúÁõÀº ¾î¶² ¿øÀÎÀ¸·Î ÀÎÇØ Áú³»ÀÇ Á¤»ó ¼­½Ä±ÕÀÌ ¼¼·ÂÀ» ÀÒ°í ÀüüÀÇ 1%¹Ì¸¸À¸·Î Á¸ÀçÇÏ´ø Çø±â¼º ¼¼±ÕÀÌ 100¹è, 1000¹è·Î Áõ½ÄÇÏ¿© »ý±â´Â Áú¿°ÀÔ´Ï´Ù. »ê¼Ò¿ÍÀÇ °ü°è·Î ¼¼±ÕÀÇ Á¾·ù¸¦ ºÐ·ùÇßÀ» ¶§, »ê¼Ò°¡ Á¸ÀçÇÒ ¶§ Àß ¹ø¼ºÇÏ´Â °ÍÀ» È£±â¼º ¼¼±ÕÀ̶ó Çϰí, »ê¼Ò°¡ ¾ø¾î¾ß Àß ÀÚ¶ó´Â ¼¼±ÕÀ» Çø±â¼º ¼¼±ÕÀ̶ó°í ÇÕ´Ï´Ù. Áú ¼¼Æ÷ÀÇ ¿°Áõº¸´Ù´Â Áõ»óÀÌ ÇöÀúÇϹǷΠ'Áú¿°' ´ë½Å¿¡ 'ÁúÁõ'À̶ó´Â Áø´ÜÀ» ºÙÀÌ°Ô µÇ¾ú½À´Ï´Ù. »ý¸® ÀüÈÄÀÇ ÀæÀº ¼º°ü°èµµ ¿øÀÎ Á¤»ó ¼­½Ä±ÕÀÇ À§¼¼°¡ ¾àÇØÁö´Â °Í°ú Áú³» »êµµ°¡ ¾àÇØÁö´Â °Í °¡¿îµ¥ ¾î´À °ÍÀÌ ¸ÕÀúÀÎÁö´Â ¾Ë ¼ö ¾øÁö¸¸, ¼­·Î »ó°ü°ü°è°¡ ÀÖ´Â °Í¸¸Àº ºÐ¸íÇÕ´Ï´Ù.

Áú³» »êµµ°¡ ¾àÇØÁö´Â ¿äÀÎÀ¸·Î´Â Àڱà °æºÎ°¡ Çæ¾î¼­ »ý±â´Â °ú´ÙÇÑ Á¡¾× ºÐºñ, ȤÀº ¿ù°æ ÀüÈÄ¿¡ °®´Â ÀæÀº ¼º°ü°è³ª Áú ±í¼÷À̱îÁö ½ÉÇÏ°Ô ÇÏ´Â µÞ¹° µîÀÔ´Ï´Ù.

ÀÏ´Ü '¶ôÅä¹Ù½Ç¸®'°¡ Áú³»¿¡¼­ »ç¶óÁø ÈÄ¿¡´Â ´Ù½Ã Á¤»ó ¼­½Ä±ÕÀ¸·Î ÀÚ¸®Àâ±â°¡ ¸Å¿ì ¾î·Á¿ì¹Ç·Î ¸¸¼ºÀûÀ¸·Î ¼¼±Õ¼º ÁúÁõÀÌ Àç¹ßÇÕ´Ï´Ù. °ñ¹Ý¿°À¸·Î ¿Å¾Æ°¡±â ½±´Ù. ¼¼±Õ¼º ÁúÁõÀÌ ÀÖ´Â °æ¿ì¿¡´Â °ñ¹Ý¿°À» ¾ÎÀ» È®·üÀÌ ³ôÀ¸¸ç ƯÈ÷, ¼¼±Õ¼º ÁúÁõÀÌ ÀÖ´Â »óÅ¿¡¼­ ¼ö¼úÀ» ÇÏ°Ô µÇ¸é °ñ¹Ý¿°À¸·Î ¿Å¾Æ°¡±â ½¬¿öÁý´Ï´Ù. ±Þ¼º °ñ¹Ý¿°ÀÎ °æ¿ì¿¡´Â ¿­ÀÌ ¿À¸£¸é¼­ ¾Æ·§¹è¿¡ ½ÉÇÑ º¹ÅëÀÌ ¿À±â ¶§¹®¿¡ ÀÔ¿øÀ» ÇØ¾ßÇϸç, ÇÕº´ÁõÀ¸·Î °í¸§ÁָӴϰ¡ »ý±æ ¼öµµ Àִµ¥ À̶§´Â °³º¹ ¼ö¼úµµ »ý°¢ÇØ¾ß ÇÕ´Ï´Ù. ¶Ç ÈÄÀ¯ÁõÀ¸·Î ³ªÆÈ°üÀÌ ¸·Çô ºÒÀÓÀÌ µÇ±âµµ ÇÕ´Ï´Ù.

ÇÑÆí ÀÓ½ÅÁß¿¡ ¼¼±Õ¼º ÁúÁõÀ» ¾Î°ÔµÇ¸é, žƸ¦ µÑ·¯½Î°í ÀÖ´Â ¾ç¸·¿¡ ¿°ÁõÀÌ »ý°Ü ¾ç¼ö°¡ Á¶±â¿¡ ÅÍÁú ¼ö ÀÖ½À´Ï´Ù. ±× ¶§¹®¿¡ Á¶»êÀ» ÇÏ°ÔµÇ¾î ¾Æ±â¿¡°Ô ¹®Á¦°¡ »ý±æ ¼ö ÀÖ½À´Ï´Ù. ¼¼±Õ¼º ÁúÁõÀÇ Áõ»óÀ¸·Î´Â ³Ã¡¤´ëÇÏÁõ°ú ÇÔ²² »ý¼± ºñ¸°³»°¡ ³ª´Â °ÍÀÌ Æ¯Â¡ÀÔ´Ï´Ù. ÀÌ·¯ÇÑ ¾ÇÃë´Â ¼º°ü°è ÈÄ ´õ¿í ½ÉÇØÁö´Âµ¥, ±×°ÍÀº Çø±â¼º ¼¼±ÕÀÇ ´ë»ç¹°ÀÎ '¾Æ¹Î'À̶ó´Â ¹°Áú ¶§¹®ÀÔ´Ï´Ù. ±×·¯³ª ¾ÇÃë°¡ ¾ø´õ¶óµµ ³ÃÀÌ Áõ°¡Çß´Ù¸é Áï½Ã »êºÎÀΰú Àü¹®ÀÇÀÇ Áø´Ü°ú Ä¡·á¸¦ ¹Þ¾Æ¾ß ÇÕ´Ï´Ù.

½ÉÇÏ°Ô °¡·Á¿î 'Ä­µð´Ù¼º Áú¿°'

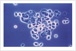
¿°Áõ¼ºÀÇ »óÇÇ ¼¼Æ÷°¡ ½ÉÇÏ°Ô ¶³¾îÁ® ³ª¿À¸é¼­ °í¸§ °°Àº ³ÃÀÌ ¸¹ÀÌ »ý±â´Â °æ¿ì°¡ ÀÖ½À´Ï´Ù. À̸¦ ¿°Áõ¼º Áú¿°À̶ó°í ºÎ¸¨´Ï´Ù. ¼º°ü°è½Ã ÅëÁõÀ» ´À³¤´Ù. Áõ»óÀ¸·Î´Â Áú°ú ¿ÜÀ½ºÎÀÇ È­²ö°Å¸², ¼º°ü°è½Ã ´À³¢°Ô µÇ´Â ÅëÁõ, ³ÃÀÇ ¾çÀÌ ¸¹¾ÆÁü µîÀ» µé ¼ö ÀÖ½À´Ï´Ù. ¿°Áõ¼º Áú¿°ÀÇ ¿øÀÎÀº ºÐ¸íÇÏ°Ô ¾Ë·ÁÁ® ÀÖÁö¾ÊÁö¸¸ ³Ã °Ë»ç¸¦ ÇØº¸¸é ¶ôÅä¹Ù½Ç¸®¶ó´Â ¸·´ë±Õº¸´Ù ½ºÆ®·¾ÅäÄÛ»çÀÌ·Î µÈ ±¸±ÕÀÌ ÁÖ¸¦ ÀÌ·ç´Â °ÍÀ» º¼ ¼ö ÀÖ½À´Ï´Ù.

¿¡½ºÆ®·Î°Õ °áÇÌÀ¸·Î ÀÎÇÑ 'À§Ã༺ Áú¿°'

Á¤»ó ¼­½Ä±ÕÀ» À¯Áö½ÃŰ´Â ¿ªÇÒÀº ¿©¼º È£¸£¸óÀÎ ¿¡½ºÆ®·Î°ÕÀÌ ´ã´çÇÕ´Ï´Ù. ¿¡½ºÆ®·Î°ÕÀº ¿©¼ºÀÇ ³­¼Ò¿¡¼­ ÁÖ·Î »ý¼ºµÇ±â ‹š¹®¿¡ ³­¼Ò¸¦ ¾çÂÊ ´Ù Àß¶ó³»´Â ¼ö¼úÀ» ¹Þ¾Ò°Å³ª ³­¼ÒÀÇ ±â´ÉÀÌ ´ÙÇÑ Æó°æ ÀÌÈÄÀÇ ¿©¼ºÀº ¿¡½ºÆ®·Î°ÕÀÌ ºÎÁ·ÇÏ°Ô µË´Ï´Ù. ¿¡½ºÆ®·Î°ÕÀÇ °áÇÌÀ¸·Î ÀÎÇÏ¿© Áúº®ÀÌ ¾ã¾ÆÁö¸é¼­ »ý±â´Â ¿©·¯ °¡Áö ¹®Á¦ °¡¿îµ¥ Çϳª°¡ ¹Ù·Î À§Ã༺ Áú¿°ÀÔ´Ï´Ù. ¼º°ü°è ÈÄ ¼Ò·®ÀÇ ÃâÇ÷À» º¸À̱⵵ ÇÑ´Ù.

À§Ã༺ Áú¿°Àº ´Ù·®ÀÇ ³Ã°ú ¼º±³ÅëÀ» À¯¹ßÇϸç, Áú »óÇÇ ¼¼Æ÷ÀÇ À§ÃàÀ¸·Î ÀÎÇØ °ÇÁ¶°¨ÀÌ »ý±â°í, ¼º°ü°è ÈÄ¿¡´Â ¼Ò·®ÀÇ ÃâÇ÷À» ÀÏÀ¸Å°±âµµ ÇÕ´Ï´Ù. ¿°Áõ¼º Áú¿°ÀÇ Ä¡·á¿¡´Â Ŭ¸°´Ù¸¶À̽ÅÀ̶ó´Â Ç×»ýÁ¦°¡ ¾²À̸ç, ¿¡½ºÆ®·Î°ÕÀÇ °áÇÌÀÌ ±Ùº» ¿øÀÎÀÌ µÇ´Â À§Ã༺ Áú¿°¿¡´Â ¿¡½ºÆ®·Î°Õ È£¸£¸ó Ä¡·á¸¦ ÇÕ´Ï´Ù.

Àڱà °æºÎ¿°°ú ³Ã¡¤´ëÇÏÁõ

Àڱà °æºÎ´Â µÎ °¡Áö »óÇÇ ¼¼Æ÷·Î ÀÌ·ç¾îÁ® ÀÖ½À´Ï´Ù. ¹Ù±ùÂÊ ¿Ü°æºÎ´Â ÁúÀÇ Ç¥ÇÇ ¼¼Æ÷¿Í °°Àº Á¾·ùÀÎ ÆíÆò ¼¼Æ÷·Î µÇ¾îÀÖÀ¸¸ç, ¾ÈÂÊ ³»°æºÎ´Â »ù¸ð¾çÀ» ÀÌ·ç´Â ¿ø±âµÕÇü ¼¼Æ÷·Î µÇ¾î ÀÖ½À´Ï´Ù. ¿Ü°æºÎÀÇ ¿°ÁõÀº Áú¿°ÀÇ ¿øÀαշᵵ Áú¿°¿¡ ÁØÇÕ´Ï´Ù. ¹Ý¸é ³»°æºÎ¿°Àº Á¶±Ý ´Ù¸¨´Ï´Ù.

³ÃÀÌ Á¡¾×¼ºÀ¸·Î °í¸§°°ÀÌ È帣¸ç, »ö±òÀº ´ë°³ Ȳ»öÀ̳ª ³ì»öÀ» ¶ð´Ï´Ù. ¿øÀαÕÀÇ 50% Á¤µµ´Â ÀÓÁú±ÕÀ̳ª Ŭ¶ó¹Ìµð¾Æ¶ó´Â ±ÕÀ¸·Î ¹àÇôÁ® ÀÖÀ¸³ª ³ª¸ÓÁö 50%´Â ¾ÆÁ÷ ¿øÀαÕÀÌ ¹àÇôÁöÁö ¾Ê°í ÀÖ½À´Ï´Ù. Áú¿°À» ¿¹¹æÇÏ´Â »ýȰ¼öÄ¢¿¡´Â ¸î°¡Áö°¡ ÀÖ½À´Ï´Ù. ±×·¯³ª Áú¿°ÀÇ Áõ»óÀÌ ½ÉÇÏ´Ù°í »ý°¢µÉ °æ¿ì¿¡´Â ¹Ýµå½Ã »êºÎÀΰú Àü¹®ÀǸ¦ ã¾Æ º´¿øÀ» ¹æ¹®ÇÏ´Â °ÍÀÌ ÁÁ½À´Ï´Ù. ¿ÜÀ½ºÎ¸¦ û°áÇÏ°í °ÇÁ¶ÇÏ°Ô ÇÑ´Ù.

ÀڱؼºÀÌ ÀÖ´Â ºñ´©³ª, ¼¼Ã´Á¦ »ç¿ë ±ÝÇÔ. ÇÇÀӱⱸ¸¦ ±ú²ýÇÏ°Ô »ç¿ë. ²Ë Á¶ÀÌ´Â ¹ÙÁö³ª ÆÒƼ ½ºÅ¸Å·À» Âø¿ëÇÏÁö ¸» °Í. ½À±â¸¦ ¹æÃâÇÏÁö ¸øÇÏ´Â ÀǺ¹ »ï°¡ ÇǰïÇÑ °Ç°­»óŸ¦ ÇÇÇÑ´Ù. Áú¿°ÀÌ »ý±ä °æ¿ì´Â Ä¡·á¸¦ Àß ¹Þ´Â °ÍÀÌ ¿¹¹æ ¹æ¹ýÀÔ´Ï´Ù. ¿ÀÈ÷·Á ÀæÀº Áú ¼¼Ã´ÀÌ Áú¿°ÀÇ ¿øÀÎÀÌ µÉ ¼öµµ ÀÖÀ¸¹Ç·Î, ¿øÀαտ¡ µû¸¥ Ä¡·á¸¦ ÇÏ´Â °ÍÀÌ ÁÁ½À´Ï´Ù.




¿ÜÀ½ºÎ ¼Ò¾çÁõÀ̶õ?

¿ÜÀ½ºÎ ¼Ò¾çÁõÀº ´Ù¸¥ ¸»·Î Áú¼Ò¾çÁõÀ̶ó°íµµ ÇÕ´Ï´Ù.
¸» ±×´ë·Î ¿©¼ºÀÇ ¿ÜÀ½ºÎ¿¡ ½ÉÇÑ °¡·Á¿òÁñÀ» ´À³¢´Â °ÍÀÌ°í »êºÎÀΰú¸¦ ¹æ¹®Çϴ ȯÀÚÁß ²Ï ¸¹Àº ºÐµéÀÌ ÀÌ·± °¡·Á¿òÁñÀ» È£¼ÒÇÏ´Â °æ¿ì°¡ ÀÖ½À´Ï´Ù.
ÀÌ·± Áõ»óÀº ´ëºÎºÐ ¿ÜÀ½ºÎÀÇ Áúȯ ¶§¹®¿¡ »ý±âÁö¸¸ ÀϺκÐÀº ´Ù¸¥ ÁúȯÀ¸·Î ÀÎÇØ »ý±â±âµµ ÇÕ´Ï´Ù.
¶§·Î´Â °¡·Á¿òÁõ°ú ÅëÁõ°ú ±¸º°Çϱâ Èûµç¶§µµ Àִµ¥ óÀ½ °¡·Á¿òÁõÀÌ »ý°Ü¼­ ±Ü¿¡ µÇ¾î °á±¹ ½ÀÁøÀÌ »ý°Ü¼­ ÅëÁõÀÌ µÇ´Â °æ¿ì°¡ ÀϹÝÀû ÀÔ´Ï´Ù.

¿ÜÀ½ºÎ ¼Ò¾çÁõÀÇ ¿øÀÎ

  • 01. »ý½Ä±â°èÀÇ º´À¸·Î ÀÎÇÑ °æ¿ì


    Áú Æ®¸®Äڸ𳪽º, ¿ÜÀ½ºÎ Ä­µð´ÙÁõ, ¿ÜÀ½ºÎ¿° µî

  • 02. ½ÅüÀÇ Áúº´À¸·Î ÀÎÇØ ÀÌÂ÷ÀûÀ¸·Î ³ªÅ¸³­ °æ¿ì


    ´ç´¢º´, °£±â´É Àå¾Ö, Ȳ´Þ, ÀÓ½Å, ³»ºÐºñ ÀÌ»ó, °»³â±â Àå¾Ö µî

  • 03. Ç×¹® ÁÖº¯ÀÇ ¿äÃæÀÌ Áú·Î ħÀÔÇÏ¿© °¡·Á¿öÁø °æ¿ì


    À̰ÍÀº ÁÖ·Î ¼Ò³àµé¿¡°Ô¼­ ¸¹ÀÌ ³ªÅ¸³ª´Âµ¥ ¿äÃæÀÌ ÀÖÀ¸¸é ±¸ÃæÁ¦¸¦ º¹¿ëÇϵµ·Ï ÇÕ´Ï´Ù.

  • 04. À§·Î ÀÎÇÑ ¿ÜÀ½ºÎ¿ïÇ÷·Î ÀÎÇØ °¡·Á¿öÁö±âµµ ÇÕ´Ï´Ù.

¿ÜÀ½ºÎ ¼Ò¾çÁõ Ä¡·á

  • 01. ÁúÆ®¸®Äڸ𳪽º µî°ú °°Àº ¼ºº´ÀÇ Àü¿°À¸·Î ÀÎÇØ »ý±ä°æ¿ì


    ¼ºº´¿¡ ÀÇÇØ »ý±ä°ÍÀ̹ǷΠÀÏ´Ü ¼ºº´À» Ä¡·áÇØ¾ß ÇÕ´Ï´Ù.

  • 02. ¿ÜÀ½ºÎÄ­µð´ÙÁõ, ¿ÜÀ½¿°°ú °°ÀÌ ¿ÜÀ½ºÎÀÇ º´À¸·Î ÀÎÇØ »ý±ä °æ¿ì


    ¿øÀÎ Áúº´À» ¸ÕÀú Ä¡·áÇØ¾ß ÇÕ´Ï´Ù.

  • 03. Æó°æÀ¸·Î ÀÎÇØ »ý±ä °æ¿ì


    ¿©¼º È£¸£¸ó Ä¡·á¸¦ ÇÒ ¼ö ÀÖ½À´Ï´Ù.

  • 04. ¾Ë·¹¸£±â°¡ ¿øÀÎÀÎ °æ¿ì


    Ç×È÷½ºÅ¸¹ÎÁ¦¸¦ ÀÌ¿ëÇÒ ¼ö ÀÖ½À´Ï´Ù.




* ¿ÜÀ½ºÎ ¼Ò¾çÁõÀº ´ë°³ »ý½Ä±â ÁÖº¯ÀÇ ÅëdzÀ̳ª Áú¿° °°Àº »ý½Ä±â Áúȯ°ú ¿¬°üÀÌ ÀÖÁö¸¸, ´ç´¢º´À» ¾Î´Â ȯÀÚµµ ¿ÜÀ½ºÎ¼Ò¾çÁõÀ» °ÞÀ» ¼ö ÀÖ½À´Ï´Ù.
¶ÇÇÑ ´ç´¢º´ ȯÀÚµéÀº ´Ü¹éÁú ÇÕ¼ºÀÌ Àß µÇÁö ¾Ê¾Æ »óó°¡ Àß ¾Æ¹°Áö ¾ÊÀ¸¹Ç·Î °¡·Á¿òÀÌ »ý±ä °÷À» ¹«½ÉÄÚ ±ÜÀº µÚ »óó°¡ ³²°Ô µÇ¸é À̰ÍÀÌ ¾Æ¹°Áö ¾Ê°í 2Â÷ °¨¿° µîÀ¸·Î À̾îÁ® Á¾±â¿Í ½ÀÁø µîÀ» ÀÏÀ¸Å³ ¼ö ÀÖÀ¸¹Ç·Î ÁÖÀǰ¡ ÇÊ¿äÇÕ´Ï´Ù.
ƯÈ÷ ¿ÜÀ½ºÎ ¼Ò¾çÁõÀÇ ´ëÇ¥ÀûÀÎ ºÎÀÛ¿ëÀº °è¼Ó ±Ü¾î´ë¸é¼­ ÇǺΰ¡ ¼Õ»óµÇ°í, °ú°¢ÁúÈ­¸¦ À¯¹ßÇÏ¿© µÎ²¨¿ö Áö´Â °ÍÀ» µé ¼ö Àִµ¥ ÇǺΰ¡ µÎ²¨¿öÁö¸é¼­ Çѹø »ý±ä ¿°ÁõÀÌ Àß ³´Áö ¾Ê°í °è¼Ó Àç¹ßÇÏ´Â µ¿¾È ¼Ò¾çÁõÀº ´õ¿í´õ ½ÉÇØÁö°Ô µÇ´Ï ¿ÜÀ½ºÎ ¼Ò¾çÁõ ¹ßº´½Ã µÇµµ·Ï ÇØ´çºÎÀ§¸¦ ±ÜÁö ¸»°í ÅëdzÀÌ Àß µÇµµ·Ï Çϸç, û°áÀ» À¯±âÇÏ´Â °ÍÀÌ ÁÁ½À´Ï´Ù.




Áú °ÇÁ¶ÁõÀ̶õ?

Áú ³» ȯ°æÀº ¾à»ê¼ºÀ» ¶í ½ÀÁö(ã¥ò¢)´Ù. Àڱðú ±âŸ »ý½Ä±âÀÇ ¼± Á¶Á÷(àÍðÚòÄ)¿¡¼­ À¯·¡ÇÑ Á¡¾×ÀÌ »ç½Ã»çö Áú º®À» ½ÀÀ±È­½ÃÄÑ Áú ³» ¼¼±Õ ÃÑÀÇ ÈǸ¢ÇÑ ¼­½Äó¸¦ Á¦°øÇÑ´Ù. Á¤»ó Áú ³»¿¡´Â ´Ù¼öÀÇ À¯Àͱհú ¼Ò¼öÀÇ À¯ÇرÕÀÌ °øÁ¸ÇÑ´Ù. Áú ³»ÀÇ ´ëÇ¥Àû À¯ÀͱÕÀº À¯»ê±ÕÀÌ´Ù. À¯»ê±ÕÀº ±Û¸®ÄÚ°ÕÀ» ¿ø·á·Î À¯»êÀ» ¸¸µé¾î³» Áú ³»ºÎ »êµµ(߫Ӹ)¸¦ ¾à»ê¼º(pH 4.5~6)À¸·Î À¯ÁöÇÑ´Ù. ¾à»ê¼ºÀÇ Áú ³» »êµµ´Â À¯ÇرÕÀÇ Áõ½ÄÀ» ¾ïÁ¦ÇÏ´Â Áú ÀÚÁ¤ÀÛ¿ë(í»ïäíÂéÄ)ÀÇ ÇÙ½É ¿ä°ÇÀÌ´Ù. ±×·¯³ª Áú ³» ÃÖÀû ½Àµµ¿Í »êµµ°¡ ¹«³ÊÁö¸é À¯ÇØ±Õ Áõ½ÄÀÌ È°¹ßÇØÁ® ¼¼±Õ¼º Áú Áõ(bacterial vaginosis)À» ¾ß±âÇÑ´Ù. ¼¼±Õ¼º Áú ÁõÀº À¯Àͱտ¡ ºñÇØ À¯ÇرÕÀÌ µæ¼¼ÇÒ ¶§ À¯¹ßµÇ¸ç °¡ÀÓ ¿©¼ºÀÇ °¡Àå ÈçÇÑ Áú °¨¿° ÇüÅ´Ù. ÁúÀÇ Á¤»ó ¼¼±ÕÃÑ ±ÕÇüÀÌ ÆÄ±«µÇ°í ÀϺΠ¼¼±ÕÀÇ °úÁõ½Ä ¶§¹®¿¡ ÆÄ»ýµÈ´Ù.

Áú ³» ½ÀÀ± ȯ°æÀº º¸Çà µî ÀÏ»ó Ȱµ¿ Áß ¸¶Âû¿¡ ÀÇÇÑ ÅëÁõÀ̳ª ºÒÄè°¨À» ¹æÁöÇÏ´Â ¶Ç ´Ù¸¥±â´ÉÀÌ ÀÖ´Ù. ÀÌó·³ º¸Çà Áß ¸¶Âû ¹æÁö¿Í Áú ³»ÀÇ »ý¹°ÇÐÀû ȯ°æÀ» À¯ÁöÇϴµ¥ ÇÊ¿äÇÑ ÃÖ¼ÒÇÑÀÇ Áú ¾×Àº Áú °Ç°­À» À§ÇÑ ±âÃÊ »ýȰ ¿ë¼ö·Î ÀÛ¿ëÇÑ´Ù. ±×·¯³ª ÀÌ ±âÁ¶ »ýȰ ¿ë¼ö¸¸À¸·Ð ¾çÁúÀÇ ¼º »ýȰÀÌ ºÒ°¡´ÉÇÏ´Ù. ¼ºÀûÀ¸·Î ÈïºÐÇÑ ¿©¼ºÀº º°µµÀÇ ¾×ü¸¦ ºÐºñÇÏ¿© ÀÚ¿õ ¼º±â°£ ¸¶Âû·ÂÀ» ÃÖ¼ÒÈ­½ÃŰ°í ¼º°¨À» ±Ø´ëÈ­½ÃŲ´Ù. ½Ç¸°´õ¿Í ÇǽºÅæÀÇ ¿òÁ÷ÀÓÀ» ¸Å²ô·´°Ô ÇÏ´Â ¿£Áø ¿ÀÀÏ ¿ªÇÒÀ» ÇÑ´Ù. ¼ºÀû °¢¼º ½Ã±â¿¡ ¼º±â¿¡ ¸ô·Áµç Ç÷¾×À» ¾ÐÃâ ¿©°ú½ÃÄÑ Áú º®ÀÇ ¹Ì¼¼ÇÑ °£±ØÀ» ÅëÇØ ³ª¿Â »ç¶ûÀÇ ¾×üÀ̸ç Ç÷¾×¿¡¼­ °íÇü ¼ººÐÀ» Á¦°ÅÇÑ Ç÷Àå¿Í À¯»çÇÑ Ã¼¾×ÀÌ´Ù. ¸¶Ä¡ Áú º®¿¡¼­ È긮´Â ¶¡¹æ¿ï°ú ºñ½ÁÇÏ¿© ÁúÀÇ ¹ßÇÑ Çö»ó(sweating phenomena)À̶ó°í ºÎ¸£±âµµ ÇÑ´Ù. Áú º®ÀÇ ¹ßÇÑ Çö»óÀº ¿¹»óµÇ´Â À½°æÀÇ ÇǽºÅæ ÁúÀ» ´ëºñÇÏ´Â ¼Õ´Ô ¸ÂÀÌ Ã¤ºñÀÌ¸ç ³²¼ºÀÇ ¹ß±â¿Í µ¿ÀÏÇÑ »ý¸® Çö»óÀÌ´Ù. ¼ºÀû °¢¼º ½Ã±â¿¡ Áú¿¡¼­ »ý¼º, ºÐºñµÇ´Â ÀÚ¿¬ À±È°¼ö¿ä ¼º »ýȰ ¿ë¼öÀÌ´Ù.

Áú ¾× ¼ººÐÀ̶õ?

¼ºÀû ÈïºÐ »óųª Á¤µµ, »ý¸® ÁÖ±âÀÇ Å¸À̹Ö, °¨¿° ¿©ºÎ, ½ÄÀÌ(ãÝìÈ)¿¡ µû¶ó »ö±ò, ³¿»õ, Á¡¼º(ïÄàõ), Áú°¨ µîÀÌ ´Þ¶óÁø´Ù. ¼ºÀûÀ¸·Î ÈïºÐÇÑ ³²¼ºÀÌ »çÁ¤Çϱâ Àü¿¡ ¹Ì¸® ¿äµµ ³¡¿¡ ¾ó±¼À» ³»¹Ì´Â ¼Ò·®ÀÇ ¾×ü Áï »çÁ¤ Àü¾×(pre-ejaculatory fluid)°ú À¯»çÇÑ ¼ººÐÀÌ´Ù. »çÁ¤ Àü¾×Àº ¿äµµ ±í¼÷ÇÑ °÷¿¡ À§Ä¡ÇÑ ÄÚÆÛ¾¾ »ù(Copper¡¯s gland)¿¡¼­ ¸¸µé¾îÁø ¹«»ö, Åõ¸íÇÑ ¾×üÀÌ¸ç ¾à°£ Á¡¾×¼ºÀ» ¶í´Ù. »çÁ¤ Àü¾×Àº Á¤¾× ¹èÃâ Àü¿¡ ÀÜ´¢¿¡ ÀÇÇØ Çü¼ºµÈ ¿äµµÀÇ »ê¼º ȯ°æÀ» ÁßÈ­½Ã۰í Á¤¾× ¹èÃâÀ» µ½±â À§ÇÑ »çÀü Á¤Áö ÀÛ¾÷ÀÌ¸ç ±× ¾çÀº °³Àο¡ µû¶ó ´Ù¸£°í °¨ÁöÇÏÁö ¸øÇÒ ¸¸Å­ ¼Ò·®ÀÏ ¼öµµ ÀÖ´Ù. ¼öºÐ, ÇǸ®µò(pyridine), ½ºÄí¾Ë·»(squalene), ¿ä¼Ò(urea), ¾Æ¼¼Æ®»ê(acetic acid), À¯»ê(lactic acid), º¹ÇÕ ¾ËÄÚ¿Ã(complex alcohol), ±Û¸®ÄÝ(glycol), ÄÉÅæ(ketone), ¾Ëµ¥È÷µå(aldehyde)°¡ ÁÖ¼ººÐÀÌ´Ù.

Áú À±È°È­¿Í Áú °ÇÁ¶ÁõÀ̶õ?

¿©¼ºÀÌ ¼ºÀûÀ¸·Î °¢¼ºµÇ¸é À½ÇÙ ¹ß±â¿Í ´ë¼ÒÀ½¼ø ¿ïÇ÷ Àü¿¡ Áú À±È°È­ Çö»óÀÌ ÀϾ´Ù. Áú À±È°È­´Â »çÃá±â¿¡¼­ Æó°æ ½Ã±îÁöÀÇ °¡Àӱ⠵¿¾È Áö¼ÓµÇ¸ç °¡·É(Ê¥ÖÆ)°ú ÇÔ²² Áú À±È° °³½Ã ½Ã°£ÀÌ Áö¿¬µÈ´Ù. 20´ë ¿©¼ºÀº ¼ºÀû ÀÚ±ØÀ¸·Î ¼öÃÊ ³»¿¡ Áï½Ã À±È°È­µÇÁö¸¸ Æó°æ ÁÖÀ§±â³ª Æó°æ ÈÄ¿¡´Â ¿¡½ºÆ®·ÎÁ¨ °áÇÌ¿¡ ÀÇÇÑ Áú Á¡¸· À§Ãà ¶§¹®¿¡ 15ºÐ ÀÌ»ó Áö¿¬µÈ´Ù. Áú À±È° Çö»ó(vaginal lubrication)Àº ¿¡½ºÆ®·ÎÁ¨ ³óµµ¿¡ µû¶ó ¿µÇâÀ» ¹Þ´Â´Ù. Áú Á¡¸·ÀÌ Àڱà ³»¸·º¸´Ù ¿¡½ºÆ®·ÎÁ¨ º¯È­¿¡ ´õ¿í ¹Î°¨ÇÑ ¹ÝÀÀÀ» º¸ÀδÙ. Áú °Ç°­À» À§ÇÑ ±âÃÊ »ýȰ ¿ë¼ö³ª ¸¸Á·½º·¯¿î ¼½½º¿¡ ÇʼöÀûÀÎ ¼º »ýȰ ¿ë¼ö°¡ ºÎÁ·ÇÑ »óÅÂ, Áï Áú °¡¹³ »óŸ¦ Áú °ÇÁ¶Áõ(vaginal dryness)À̶ó°í ÇÑ´Ù. ±×·¯³ª Åë»óÀûÀ¸·Î ¼º »ýȰ ¿ë¼öÀÇ °áÇ̸¸À» ÀǹÌÇÏ´Â °æÇâÀÌ ÀÖ´Ù.

¿©¼º ¼º±â´É Àå¾Ö¶õ?

¿©¼º ¼º±â´É Àå¾Ö´Â ¼º¿å Àå¾Ö, °¢¼º Àå¾Ö, ±ØÄ¡°¨ Àå¾Ö, ¼º±³ÅëÀ¸·Î ºÐ·ùÇÏÁö¸¸ ÀÌµé ¿äÀÎÀº ÇÑ ¿ÃÀÇ Ã¶»ç ÁÙ¿¡ ÇÔ²² ²ç¾îÁ® ÀÖ´Â ±¸½½Ã³·³ ¼­·Î ¿¬°áµÇ¾î ÀÖ´Ù. ¼º »ýȰ ¿ë¼ö°¡ ºÎÁ·ÇÏ¸é ¼º±³ ÅëÀ» ÃÊ·¡ÇÑ´Ù. ¶§¹®¿¡ ±ØÄ¡°¨ È®º¸°¡ ºÒ°¡´ÉÇÏ°í °á±¹ ¼º¿å±îÁö ÀúÇÏµÇ¾î ¼½½º¿¡ ´ëÇÑ Èï¹Ì¸¦ »ó½ÇÇÏ´Â °ÍÀÌ´Ù. ÀÛ¿­°¨(burning), ¾Ð¹Ú°¨(feeling of pressure), ¼Ò¾çÁõ(itching), µû²û°Å¸², ºó´¢(frequency), ±Þ´¢(urgency)¸¦ µ¿¹ÝÇÒ ¼ö ÀÖ°í ¶§·Ð Áú Á¡¸· ¼Õ»ó¿¡ ÀÇÇÑ °æ¹ÌÇÑ ÃâÇ÷ÀÌ ³ªÅ¸³ª±âµµ ÇÑ´Ù. ¼º »ýȰ ¿ë¼ö»Ó ¾Æ´Ï¶ó ±âÃÊ »ýȰ ¿ë¼ö±îÁö °áÇ̵Ǹé Áú¿°À̳ª ÀüÁ¤¿°(vstibulitis)À» ÇÕº´ÇÏ¿© º¸Çà±îÁö Á¦ÇÑÀ» ¹Þ´Â´Ù. Æó°æÀÌ ÀÓ¹ÚÇϰųª Æó°æ ÀÌÈÄ ¿¬·ÉÃþ ¿©¼ºµéÀº Áú °ÇÁ¶ÁõÀ» ÈçÈ÷ °æÇèÇÑ´Ù. Àå±âÈ­µÇ¸é ¼½½º¸¦ ±âÇÇÇÏ¸ç °á±¹ ³²¼º ÆÄÆ®³ÊÀÇ ¼º±â´É ±îÁö Ãß¶ô½ÃŲ´Ù. ¼½½º¶õ »ó´ë°¡ Àִ ȥ¼º È¥ÇÕ º¹½Ä °æ±âÀÌ¸ç ÆÀ ¿÷ÀÌ ¹«³ÊÁö¸é ÇÇÂ÷ ÁÁÀº ¼ºÀûÀ» ±â´ëÇÒ ¼ö ¾ø±â ¶§¹®ÀÌ´Ù.

Áú °ÇÁ¶Áõ, ¿øÀÎ

³²¼º ÆÄÆ®³ÊÀÇ ¼º±â(àõÐü) ¹Ì¼÷ Áï ÃæºÐÄ¡ ¸øÇÑ ÀüÈñ(îñýô)°¡ ¹®Á¦´Ù. ¼ºÀû ºÐÀ§±â¸¦ Á¶¼ºÇÒ Æ´µµ ¾øÀÌ ³²¼º Ãø¿¡¼­ °©Àڱ⠿䱸ÇÑ ¼º ÇàÀ§ ¼ÒÀ§ ¡°casual 10 minutes sex¡±°¡ Áú °ÇÁ¶ÁõÀÇ ÈçÇÑ ¿øÀÎÀÌ µÈ´Ù. ¿©¼ºÀÌ ¹Ìó ÁغñµÇÁö ¾ÊÀº »óÅ¿¡¼­ °¨ÇàÇÑ ÀϹæÀû ¼º ÇàÀ§ÀÇ °á°úÀÌ¸ç ³²¼ºÀÌ ¿©¼º¿¡ ºñÇØ ¼ºÀû °¡¿­ ½Ã°£ÀÌ ÂªÀº ¼º »ý¸® ¹ÝÀÀÀÇ ¼Óµµ Â÷¿¡¼­ ±âÀÎµÈ Çö»óÀÌ´Ù. °ú°Å¿¡ ¼ºÆøÇàÀ» ´çÇÑ ¿©¼ºÀÇ ºÒ¾ÈÀ̳ª °øÆ÷, ½ÉÇÑ ½ºÆ®·¹½º, »ó´ë ³²¼º°úÀÇ °¥µî ¶Ç´Â Ä£¹Ð°¨ °á¿©°¡ ¸ðµÎ Áú °ÇÁ¶ÁõÀ» ºÒ·¯µéÀÏ ¼ö ÀÖ´Ù. ¶ÇÇÑ ÀӽŠÁß À¯»êÀ̳ª Á¶±â ºÐ¸¸¿¡ ´ëÇÑ ¿ì·Á ¶§¹®¿¡ ¼½½º¿¡ ÁýÁßÇÏÁö ¸øÇÒ ¶§ Áú À±È° Çö»óÀÌ ¾ïÁ¦µÈ´Ù. ¶óÅØ½º Äܵ¼, ÇÇÀÓ ¸ñÀûÀÇ »ì Á¤ÀÚÁ¦ »ç¿ë, Áú ¼¼Ã´ µîÀº Áú Á¡¸·À» ÀÚ±ØÇÏ¿© ¿øÈ°ÇÑ À±È° ±â´É ¹ßÈÖ°¡ ¾î·Á¿öÁø´Ù. ¼º±³ ÅëÀÌ ¹Ýº¹µÇ¸é ÅëÁõ¿¡ ´ëÇÑ ½É¸®Àû ºÎ´ã ¶§¹®¿¡ ¼ºÀû °¢¼º »óÅ¿¡ µµ´ÞÇÏ±â ¾î·Æ´Ù. Àå±â°£ ±Ý¿å ±â°£ ÈÄ¿¡ ¼º ÇàÀ§¸¦ °³½ÃÇÒ ¶§ Áú °ÇÁ¶ÁõÀ» °æÇèÇϱ⵵ ÇÑ´Ù. µû¶ó¼­ Àå±â ±Ý¿å »ýȰ ÈÄ¿¡ ¼º ÇàÀ§¸¦ ´Ù½Ã ½ÃÀÛÇÒ ¶§´Â ´õ¿í ¼¼½ÉÇÑ ÀüÈñ¿¡ ÁýÁßÇØ¾ß ÇÑ´Ù. ³²¼º ¹è¿ìÀÚÀÇ ¼º±â´É Àå¾Ö(Á¶·ç³ª ¹ß±âºÎÀü)°¡ Áú °ÇÁ¶ÁõÀÇ ¿øÀÎÀÌ µÇ±âµµ ÇÑ´Ù. ºÎ½Ç ¼º ÇàÀ§¸¦ ¹Ýº¹ÇÏ´Â ³²¼º ¹è¿ìÀڷκÎÅÍ ¼ºÀû ¸¸Á·À» ±â´ëÇÒ ¼ö ¾ø´Ù´Â ÁÂÀý°¨ ¶§¹®¿¡ ¼ºÀû °¢¼º »óÅ¿¡ µµ´ÞÇÏÁö ¾Ê´Â´Ù. ÀÚ±ÃÀ̳ª ³­¼Ò ÀýÁ¦¼úÀ» ¹ÞÀº ¿©¼º Áß ÀϺδ »ý½Ä ´É·Â »ó½Ç¿¡ ÀÇÇÑ ÀÚÁ¸½É °á¿©, ¿ì¿ïÁõ ¶§¹®¿¡ Áú À±È°È­°¡ °¨¼ÒµÇ°í ¼ºÀû ¸¸Á·µµ°¡ ¶³¾îÁö±âµµ ÇÑ´Ù. ºÐ¸¸ Á÷ÈÄ¿¡´Â ¼º±âÀÇ ¹Î°¨µµ°¡ µÐÈ­ µÇ¾î Áú À±È° Çö»óÀÌ Áö¿¬µÇ°í ºÐºñ·®µµ °¨¼ÒÇÑ´Ù. ¼öÀ¯ ±â°£ Áß¿¡´Â ¿©¼º È£¸£¸ó, ¿¡½ºÆ®·ÎÁ¨ ³óµµ°¡ ¶³¾îÁ® Áú °ÇÁ¶ÁõÀ» ¾ß±âÇÑ´Ù. ô¼ö ¼Õ»óÀ̳ª ¸é¿ªÁúȯ, ½Å°æ Áúȯ ¶Ç´Â ÁøÇàµÈ ´ç´¢º´µµ Áú À±È°È­¸¦ ¾ïÁ¦½Ã۸ç ÁøÁ¤Á¦, ´ÏÄÚÆ¾, ¾ËÄÚ¿Ã, ÀÌ´¢Á¦, Ç׿ì¿ïÁ¦, Ç×È÷½ºÅ¸¹Î, Ç÷¾Ð °­ÇÏÁ¦ µî ÀϺΠ¾à¹°À» Àå±â º¹¿ëÇÒ ¶§¿¡µµ Áú °¡¹³ÀÌ ÃÊ·¡µÇ±âµµ ÇÑ´Ù. Æó°æ ÁÖÀ§±â(perimenopause) ¶Ç´Â Æó°æ ÈÄ ¿©¼ºÀº °ÅÀÇ ´ëºÎºÐÀº Áú À±È° ±â´ÉÀÌ ¾ïÁ¦µÇ°Å³ª ¼Ò½ÇµÈ´Ù. ¿¡½ºÆ®·ÎÁ¨ ³óµµÀÇ ±Þ°ÝÇÑ °¨¼Ò·Î Áú º®ÀÌ ¾ã¾ÆÁö°í °ÇÁ¶ÇØÁö±â ¶§¹®ÀÌ´Ù. À°¾Æ, ¸à½º Áֱ⠺¯È­, ÇÇÀÓ¾à º¹¿ë, Àڱà ÀýÁ¦¼ú, ÇÇ·Î, ½ºÆ®·¹½º, ¿îµ¿ °ú´Ù´Â °¡Àӱ⠿©¼ºÀÏÁö¶óµµ Áú °ÇÁ¶ÁõÀÇ ¿øÀÎÀÌ µÉ ¼ö ÀÖ´Ù. ¿¡½ºÆ®·ÎÁ¨ ³óµµÀÇ °¨¼Ò ¶§¹®ÀÌ´Ù. ±ÙÀÚ¿¡´Â ½É¸®Àû ¿äÀκ¸´Ù ±âÁúÀû ¿øÀÎÀÌ Áõ°¡ÇÏ´Â Ãß¼¼ÀÌ´Ù. µû¶ó¼­ Áú ¾× ºÐºñ °¨¼Ò°¡ Àå±â°£ Áö¼ÓµÇ¾î ¼º »ýȰÀ» ¹æÇØÇÒ ¶§¿¡´Â »ýÈ­ÇÐÀû °Ë»ç, È£¸£¸ó °Ë»ç, Áú Ç÷·ù·® °Ë»ç µîÀ¸·Î ±âÁúÀû ¿øÀÎÀ» ã¾Æº¸´Â °ÍÀÌ ¹Ù¶÷Á÷ÇÏ´Ù

Áú °ÇÁ¶Áõ, ÇØ°áÃ¥

Áú °ÇÁ¶ÁõÀº ³²¼ºÀÇ ¹ß±â ºÎÀüÁõ°ú µ¿ÀÏÇÑ »ý¸® Çö»óÀÌ¸ç ºñ±³Àû ºó¹øÇÑ ¿©¼º ¼º±â´É Àå¾ÖÀÇ ÇÑ À¯ÇüÀÌ´Ù. ¹Ýº¹µÇ´Â ¼º±³ Åë ¶§¹®¿¡ ±ØÄ¡°¨Àº ¹°·Ð ¼º¿åµµ ÀúÇÏµÇ¾î ¼½½º¿¡ ´ëÇÑ Èï¹Ì¸¦ ÀÒ°í ¼ºÇàÀ§¸¦ ±âÇÇÇÑ´Ù. Æó°æ ÁÖÀ§±â ¿©¼ºÀ̳ª Æó°æ ÈÄ ¿©¼ºÀº ¿¡½ºÆ®·ÎÁ¨ °áÇÌ¿¡ ÀÇÇÑ Áú °ÇÁ¶ÁõÀ» ÇÇÇÒ ¼ö ¾ø´Ù.




  • 01 ÃæºÐÇÑ ¼öºÐ ¼·Ãë°¡ Áß¿äÇÏ´Ù. ÇÏ·ç¿¡ 240 cc(8¿Â½º) ¸ÆÁÖ ÄÅÀ¸·Î 10ÀÜ ÀÌ»óÀ» ¸¶½Å´Ù.½Åü¸¦ ¼öÈ­(â©ûù)½ÃŰ´Â °Í¸¸À¸·Îµµ Áú °ÇÁ¶ÁõÀÌ ¿ÏÈ­µÈ´Ù.
  • 02 ÁÖº¯ ȯ°æ¿¡¼­ È­ÇÐ ¾àǰÀ» Á¡°ËÇÑ´Ù. ¸ñ¿å, ¼¼Å¹ ¿ëǰ¿¡ ÇÔÀ¯µÈ Çâ¼ö. È­ÇÐ ¼¼Á¤Á¦, ÇÇºÎ¿ë ·Î¼Ç, ºñ´©³ª ±âŸ È­Çй°ÁúÀÌ ¼¶¼¼ÇÑ Áú Á¡¸·À» ÀÚ±ØÇÒ ¼ö Àֱ⠶§¹®ÀÌ´Ù
  • 03 È£¸£¸ó ±ÕÇüÀ» À§ÇÑ ½ÄÀÌ¿¡ ½Å°æÀ» ¾´´Ù. ½Åü È£¸£¸ó ±ÕÇüÀÌ Áú °ÇÁ¶Áõ ¹æÁö¿¡ Áß¿äÇÏ´Ù. ÀúÁö¹æ, °í ź¼öÈ­¹°½ÄÀÌ¿¡ ÁýÂøÇϸé ÄÝ·¹½ºÅ×·Ñ °áÇÌÀ» À¯¹ßÇÏ¿© ¼º È£¸£¸ó »ý»êÀÌ °¨¼ÒÇÑ´Ù. ¿¡½ºÆ®·ÎÁ¨Àº ÄÝ·¹½ºÅ×·ÑÀ» ¿ø·á·Î ¸¸µé¾îÁö±â ¶§¹®ÀÌ´Ù.
  • 04 ÀÇ·á¿ë ¸ÖƼ ºñŸ¹Î°ú ¹Ì³×¶ö º¸ÃæÁ¦¸¦ º¹¿ëÇÏ¿© ½ÄÀÌ(diet)¸¦ Áö¿øÇÑ´Ù. ¾Æ¹«¸® ÀÌ»óÀû ½ÄÀ̸¦ ½ÇÇàÇØµµ ´ë»ç¿¡ ÇÊ¿äÇÑ ºñŸ¹ÎÀ̳ª ¹Ì³×¶öÀÌ °áÇÌµÇ¸é ¹«¿ëÁö¹°À̱⠶§¹®ÀÌ´Ù.
  • 05 ¾çÁúÀÇ Áú À±È°Á¦¸¦ »ç¿ëÇÑ´Ù. À̰͸¸À¸·Î Áú °ÇÁ¶ÁõÀ̳ª ÀÚ±ØÁõ»óÀ» Áï½Ã °æ°¨½Ãų ¼ö ÀÖ´Ù. Áú À±È°Á¦´Â ¸Å¿ì ¹Î°¨ÇÑ ½Åü ºÎÀ§¿¡ »ç¿ëµÇ±â ¶§¹®¿¡ ¾ÈÀüÇϰí È¿°úÀûÀÎ Á¦Ç°À» ¼±ÅÃÇØ¾ß ÇÑ´Ù. ¾Æ¿ï·¯ Ç×¹® ¼öÃà ¿îµ¿(Kegel¡¯s exercise)À» º´ÇàÇÏ¸é »ó½Â(ßÓã«) È¿°ú¸¦ ±â´ëÇÒ ¼ö ÀÖ´Ù.
  • 06 »ý¹°ÇÐÀû ģȭ¼ºÀÌ Àִ õ¿¬ È£¸£¸ó Á¦Á¦¸¦ »ç¿ëÇÑ´Ù. ´ëµÎ, ¾Æ¸¶¾¾(flaxseed), ¼®·ù µîÀº ½Ä¹°¼º ¿¡½ºÆ®·ÎÁ¨(phytoestrogen)ÀÇ º¸°íÀÌ´Ù. ÀÌµé ½Ä¹°¿¡¼­ ÃßÃâÇÑ ½Ä¹°¼º ¿¡½ºÆ®·ÎÁ¨Àº ¼¼Æ÷ ¼öÁØ¿¡¼­ Áú Á¡¸· ¼¼Æ÷ ±â´ÉÀ» °³¼±½ÃŲ´Ù.
  • 07 ¿¡½ºÆ®·ÎÁ¨ÀÇ °áÇÌÀÌ Áú °ÇÁ¶ÁõÀÇ ¿øÀÎÀ̶ó¸é ¿¡½ºÆ®·ÎÁ¨ Á¦Á¦¸¦ »ç¿ëÇÏ¿© ±Ù¿øÀû ÇØ°áÀ» ½ÃµµÇÑ´Ù. Å©¸²(cream), ¸µ(ring), Á¤Á¦(vaginal tablet) ÇüŰ¡ ÀÖ´Ù
  • 08 ´ç´¢º´, °íÇ÷¾Ð, ½Å°æÁúȯ, ¸é¿ª Áúȯ µî Áú °ÇÁ¶ÁõÀÇ ¿øÀÎ Áúȯ À¯¹«¸¦ Á¡°ËÇÑ´Ù.
  • 09 ±ÔÄ¢ÀûÀÎ ¼º±³´Â Áú °ÇÁ¶Áõ ¹æÁö¿¡ ¸Å¿ì Áß¿äÇÏ´Ù. ¼ºÇàÀ§ µµÁß¿¡ Áú °ÇÁ¶ÁõÀ» °æÇèÇÏ´Â ¿©¼ºÀº ÀÚ½ÅÀÇ ¼ºÀû °¢¼º »óŰ¡ ÃæºÐÇÏÁö ¾ÊÀ½À» ¶æÇÑ´Ù. ¼º ¹è¿ìÀÚ¿Í Ä£¹Ð°¨À» °®µµ·Ï ³ë·ÂÇÑ´Ù. ÆÄÆ®³Ê¿¡°Ô ÀÚ½ÅÀÇ ¼º°¨´ë¿Í ¼º°¨´ë ÀÚ±Ø ¹æ¹ýÀ» ÁÖ¹®ÇÑ´Ù. ´ëÈ­Çü, ÁÖ¹®Çü ÀüÈñ´Â ¼ºÀû °¢¼º »óÅ¿¡ µµ´ÞÇÏ´Â È¿°úÀûÀÎ ¼ö´ÜÀÌ´Ù. Áú º¸½À(vaginal moisture)°ú Áú À±È°¾×ÀÇ ¾çÀº ¼º±³ Ƚ¼ö¿Í ¿¬°ü¼ºÀÌ ÀÖ´Ù. ¿¡½ºÆ®·Î°ÕÀÇ ³óµµ°¡ °¨¼ÒµÈ ¿©¼ºÀÏÁö¶óµµ ¼ºÀû ÈïºÐ »óŸ¦ ÁÖ±âÀûÀ¸·Î Á¶ÀåÇϸé Áú À±È° ±â´ÉÀ» À¯ÁöÇÒ ¼ö ÀÖ´Ù. µôµµ¿ì(dildo)³ª Áøµ¿±â(vibrator) °°Àº ¿©¼º¿ë ¼ºÀÎ ¿ëǰÀ» Àû±ØÀûÀ¸·Î Ȱ¿ëÇÏ¿© ºó¹øÇÏ°Ô ¼ºÀû ÈïºÐ »óŸ¦ À¯¹ß½Ã۸é Áú À±È° ¾×ü ºÐºñ°¡ ÃËÁøµÈ´Ù. ¼ºÀû ÈïºÐÀº Áú(vagina)À̳ª °ñ¹Ý Àå±âÀÇ Ç÷·ù ¼øÈ¯À» ÃËÁø½ÃÄÑ Áú À±È° ±â´ÉÀ» ÁöÄÑÁֱ⠶§¹®ÀÌ´Ù. °Ô´Ù°¡ µôµµ¿ì´Â Àå±â ±Ý¿åÀ̳ª ³ëÈ­¿¡ ÀÇÇÑ Áú Á¡¸· Ç¥¸éÀÇ ¾àÈ­¸¦ ¾ïÁ¦½ÃÄÑ ¿À·£ ±Ý¿å »ýȰ ÈÄ¿¡ Àç°³ÇÑ ¼º ÇàÀ§ ½Ã¿¡ ÈçÈ÷ °æÇèÇÏ´Â ¼º±³ÅëÀ» ¿¹¹æÇÒ ¼ö ÀÖ´Ù. ±ÔÄ¢ÀûÀÎ ¼½½º´Â Áú °Ç°­À» °­È­½ÃŰ´Â ¼ö´ÜÀÌ´Ù.

ÀÚ°¡ Ä¡·á ¼ö´Ü ¡®Áú º¸½À, À±È°Á¦¡¯

Áú À±È°¾× °¨¼Ò³ª Áú °ÇÁ¶ÁõÀÇ °£´ÜÇÑ ÀÚ°¡ ÇØ°áÃ¥ Áß ÇѰ¡Áö´Â ÀÇ»ç ó¹æ ¾øÀÌ ½ÃÁß¿¡¼­ ½±°Ô ±¸ÇÒ ¼ö ÀÖ´Â ¼ö¿ë¼º Áú À±È°Á¦¸¦ Ȱ¿ëÇÏ´Â °ÍÀÌ´Ù. ÀÌ»óÀûÀÎ Áú À±È°Á¦ÀÇ Á¶°ÇÀº




  • Áú ³» »êµµ(߫Ӹ) ±ÕÇüÀ» À¯ÁöÇØ¾ß ÇÑ´Ù
  • ¼öºÐ ±âÁ¦ÀÌ¸ç ¼ö¿ë¼º À̾î¾ß ÇÑ´Ù
  • À±È° ÀÛ¿ë ½Ã°£ÀÌ ÃæºÐÇØ¾ß ÇÑ´Ù
  • Áú º¸½À ±â´ÉÀ» ÇÔ²² º¸À¯ÇØ¾ß ÇÑ´Ù 6)¹«»ö, ¹«Ãë, Åõ¸íÇØ¾ß ÇÑ´Ù
  • ÀڱؼºÀÌ ¾ø¾î¾ß ÇÑ´Ù
  • Äܵ¼, ŽÆù(tampon), Áú ¼¼Ã´°ú º´ÇàÇÒ ¼ö ÀÖ¾î¾ß ÇÑ´Ù.



¾ö¹ÐÇÑ Àǹ̿¡¼­ Áú À±È°Á¦(vaginal lubricants)¿Í Áú º¸½ÀÁ¦(vaginal moisturizer)´Â ±¸ºÐµÇ¾î »ç¿ëµÈ´Ù. Áú À±È°Á¦´Â ¼º »ýȰ ¿ë¼öÀ̸ç Áú º¸½ÀÁ¦´Â ±âÃÊ Áú °Ç°­ ¿ë¼ö¸¦ ¶æÇÑ´Ù. Áú º¸½ÀÁ¦´Â ÇÑ ¹ø ¹Ù¸£¸é ÃÖ¼ÒÇÑ 3ÀÏ µ¿¾È Áú ³» ȯ°æÀ» ÃÖÀû ¼öÁØÀ¸·Î ½ÀÀ± ½Ãų ¼ö ÀÖ´Â Á¦Ç°ÀÌ´Ù. ±×·¯³ª ½ÇÁ¦·Î ½ÃÆÇµÇ´Â ¼ö ¸¹Àº Áú À±È°Á¦ °¡¿îµ¥ ÀÌ¿Í °°Àº ÀÌ»óÀû Á¶°Ç¿¡ ºÎÇյǴ Á¦Ç°Àº ±×¸® ¸¹Áö ¾Ê´Ù.